
小児矯正
小児矯正について

矯正歯科は大人だけでなく、子どもにも適用があります。大人の矯正治療は、すでに成長が終わって骨格が整った顎の状態で歯並びを整えます。一方で、子どもの矯正治療は、まだまだ顎や口周りは発達途中のため、成長段階であることを利用して骨格コントロールを含めた矯正治療を行うという特徴があります。
大人の矯正治療では、必要に応じて抜歯をして歯を動かすスペースを確保しますが、子どもの矯正歯科では、今後の顎の骨の成長にあわせるため基本的には抜歯は行いません。
当院では大人だけでなく、お子様の矯正治療にも対応しております。無料の矯正相談をおこなっておりますので、お子様の歯並びにご不安がある場合は、まずはご相談にいらしてください。
一般的に子どもの矯正を始める時期は、4歳〜12歳ぐらいといわれています。しかし実際には子どもの成長により異なるため、お子さまに合わせて最適な時期を見極めることが必要です。お子様の歯並びやお口のお悩みがありましたら、是非一度当院へお越しください。
小児矯正の必要性

小児矯正は大人の矯正治療とは少しアプローチが異なります。そのため、年齢によってもその必要性や矯正の意味合いが違ってくるのです。
4~6歳|乳歯の矯正
4歳から6歳にかけては、乳歯が生えそろって自分でしっかりと食べ物を咀嚼できるようになる時期です。歯がすべて生えそろうことで、お口の筋肉も発達して、歯を食いしばって力を入れられるようになります。
この時期は将来、永久歯になったときにきれいな歯並びになるように、舌の使い方や口周りの筋肉のトレーニングを行うのに適切な時期と言われています。
6〜12歳|永久歯の小児矯正
6歳から12歳になると今度は乳歯が抜けて永久歯に生えそろう時期です。子どもの歯から大人の歯に変わる時期は、顎の骨や周辺の筋肉もさらに発育していく時期でもあります。
そのため、この時期の歯並びのお悩みに対しては、お子様のお口の成長を利用しながら歯並びを整えていきましょう。
第1期治療と第2期治療とは?
小児矯正は、第1期治療と第2期治療の2種類に分けられます。このうち、6〜12歳辺りまでに行う歯科矯正のことを、第1期治療と呼びます。乳歯から永久歯に生え変わる時期は、混合歯列期といいます。
顎の成長を利用し、歯が生えるスペースを確保するなど、骨格の問題を解決できる時期です。第1期治療を受けることで、将来的に抜歯をしなくても綺麗な歯並びをキープできる可能性が上がります。
12歳以降に行う歯科矯正を第2期治療と呼びます。乳歯から永久歯へ完全に生え変わってから行う治療なので、成人が受ける矯正とほぼ同じ内容です。第1期治療を受けているお子様には、主に歯の向きなどの細かい調整を行います。詳しくは、当院の「矯正歯科」のページをご覧ください。
小児矯正のメリット
将来的に抜歯をしなくても良い確率が上がる
6〜12歳頃に行う小児矯正では、顎の成長を利用して歯が生えるスペースを確保することができます。そのため、当院でも極力抜歯をしない矯正を推奨しております。将来的に抜歯をしなくても、綺麗な歯並びをキープできることは大きなメリットです。
上下の顎のバランスが整えられる
小児矯正では、歯が生えるスペースを確保しつつ、上下の顎のバランスを整えることができます。顎の位置がズレることが一因として起こる、出っ歯や受け口を改善することも可能です。お顔の印象も大きく変わるため、コンプレックス改善の一助となります。
虫歯や歯周病のリスクが下がる
歯並びが悪いと、十分なブラッシングができずに汚れがたまり、虫歯や歯周病になるリスクが上がります。小児矯正で子どもの頃から歯並びを綺麗にしておくことで、大人になっても健康な歯をキープできるようになります。
成人矯正に比べて痛みが少なめ
成人すると顎の骨の成長が完了しているため、歯を動かす際に痛みが生じてしまいます。一方で、小児矯正だとまだ顎の骨がやわらかいので、比較的少ない痛みで歯並びを綺麗にできます。矯正歯科による痛みが不安な方はぜひ、小児矯正をご検討ください。
大人になってからの矯正が不要になる確率が上がる
小児矯正で歯が生えるスペースを確保しておくことで、大人になってからの矯正が不要になる確率が上がります。仮に第2期治療が必要だとしても、通常の成人矯正よりも負担が少なく済みます。
小児矯正のデメリット・リスク
矯正中は虫歯や歯周病のリスクが上がる
矯正中は口腔内に器具がつけられているため、歯磨きがしづらいのが難点です。それによって、十分なケアが行き届かず、虫歯や歯周病になるリスクが上がります。当院でもブラッシング指導を行いますが、保護者の方も日々のケアのサポートをお願いいたします。
再度の矯正が必要になるケースもある
小児矯正は顎の成長段階に行うため、大人になってから再度歯並びが悪化するケースもあります。悪化の原因は、顎の大きさや習慣によるものが大きいです。
当院では、お子様の成長を考慮しながら治療を進めて参ります。そのため、成人矯正に比べて治療期間が長くなるリスクがあることもご承知おきください。
お子様の治療へのモチベーションが必要
成人矯正ほどではないものの、小児矯正でも多少の痛みが発生します。マウスピースを使う場合は、都度の取り外しと装置の洗浄も必要になります。
そのため、お子様の治療へのモチベーションや協力姿勢がないと、適切に治療を進めるのが困難です。当院でも全力でサポートいたしますが、保護者の方の声掛けや日々のサポートをお願いいたします。
当院で行っている小児矯正の種類

当院の小児矯正の特徴と矯正方法をご紹介します。
非抜歯矯正|健康な歯を抜かないという選択
歯並びがガタガタになっている理由のひとつには、お口の筋肉が上手く使えていないことや顎の成長に対して、歯の大きさが合っていない可能性があります。
お口の筋肉が上手く使えていない場合には、そのトレーニングをすることで歯並びを整えたり顎の発達を促したりする効果が期待できます。
当院ではお子様の顎の成長にあわせた矯正方法により健康な歯を極力抜歯せず、歯並びを改善する方法をご提案しています。
マルチブラケット(表側矯正)

マルチブラケットは世界的にも最もポピュラーな矯正方法です。歯の表側の表面1つずつにブラケットと呼ばれるパーツを接着して、ワイヤーを通すことで歯並びを整える矯正方法です。ワイヤーの曲げ方によって歯を動かすスピードや強さをコントロールすることができます。
マルチブラケットを使った表側矯正は、抜歯が必要な歯並びにも対応しており、およそほとんどの症例で適用可能です。現在では白いブラケットやワイヤーも登場しており、より審美性が高くなっています。
治療の流れ
STEP1 カウンセリング(小児矯正の相談)
まず最初に、小児矯正の適応があるか否かのカウンセリングを行います。お子様や保護者の方が感じている悩みや不安な点のヒアリングに加え、現時点での口腔内の診察も実施します。ヒアリング内容や診察内容を踏まえ、矯正治療の進め方や期間、費用などについてざっくりとお伝えいたします。
STEP2 精密検査
カウンセリング後、本格的に治療を進めるために精密検査に移ります。より詳しい口腔内の検査、顔・口内の写真撮影、レントゲンやCT撮影、歯型取りが具体的な内容です。顎の骨の歪みをはじめ、骨格的な問題が無いかも診察します。
STEP3 診断と治療方針の決定
精密検査の結果をお伝えし、今後の詳しい治療内容を決定いたします。カウンセリング時よりも詳細な治療の進め方、治療期間、費用についてもお伝えいたします。
STEP4 小児矯正開始
本格的な小児矯正をスタートいたします。当院では、基本的に永久歯の抜歯を行わずに治療を進めます。
STEP5 矯正装置の調整と状況確認
矯正装置を装着した後は、約4週間に一度のペースで調整を行います。同時に顎の骨の成長速度や様子、永久歯がどのように生えているかも確認します。
STEP6 保定期間
矯正期間が終了したら装置を外します。装置を外した直後は歯が不安定な状態なので、綺麗な歯並びをキープするために保定装置を装着していただきます。
使用する装置は、リテーナーと呼ばれるマウスピースに似たもので、お子様自身で取り外し可能です。小児矯正の保定期間は約1~2年です。状況確認のため、数ヶ月に1度のペースで来院していただく必要があります。
よくある質問
小児矯正の費用はどのくらいかかるの?
第1期治療・第2期治療は、約40万~の費用がかかります。ただ、口腔内の状況によって料金は変動いたします。特に、第1期治療を経て第2期治療を受ける場合は、費用が抑えられるケースも多いです。詳しくは、当院での診察時にお伝えいたします。
小児矯正は保険適用になる?
基本的に小児矯正は保険適用外となり、自由診療扱いとなります。ただ、顎変形症による噛み合わせの悪化などの医学的に治療が必要と判断された場合は、保険適用となるケースもあります。
第1期治療と第2期治療はどちらも受けなければいけないの?
お子様の口腔内の状態にもよります。第1期治療が適応となった場合は、歯を綺麗に並べるためのスペースが確保できるため、第2期治療が不要だったり、必要であっても部分矯正で済むこともあります。
いずれにしても、お子様の成長を見ながら治療を進めていくため、ご安心ください。
5歳の子どもですが、小児矯正で口呼吸も治りますか?
当院では、4〜6歳のお子様向けに舌の使い方や口周りのトレーニングを指導しております。ここで正しい舌の位置を習得することによって、口呼吸から鼻呼吸へと矯正を促します。
なお、口呼吸は歯並びの悪化だけでなく、ドライマウスによる口臭、集中力低下、免疫力低下などを引き起こす恐れがあります。安静時や睡眠時に使用するマウスピースを取り入れるのも効果的です。
小児矯正中に食事制限はあるの?
基本的には食事制限はございません。しかし、粘着性の高い食べもの(ガムなど)は矯正装置に張り付いて離れなくなったり、硬い食べもの(おせんべいなど)は装置を壊す原因となります。食べる際はご注意ください。
小児矯正による部活動などの制限はあるの?
矯正による活動の制限は特にありませんが、一部注意が必要です。例えば、吹奏楽部でマウスピースを用いた楽器を担当する際は、唇に押し当てることで痛みが生じることがあります。この痛みは、ワックスなどで緩和させることができます。
また、口もとにボールなどが当たる可能性があるスポーツをする際は、ガード用のマウスピースを装着することをおすすめします。
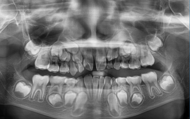
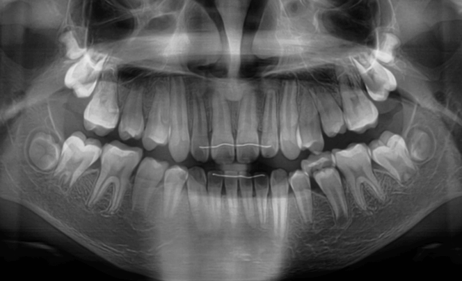
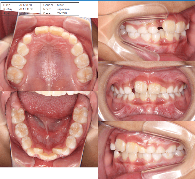
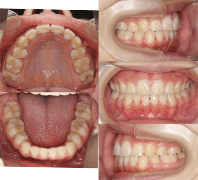
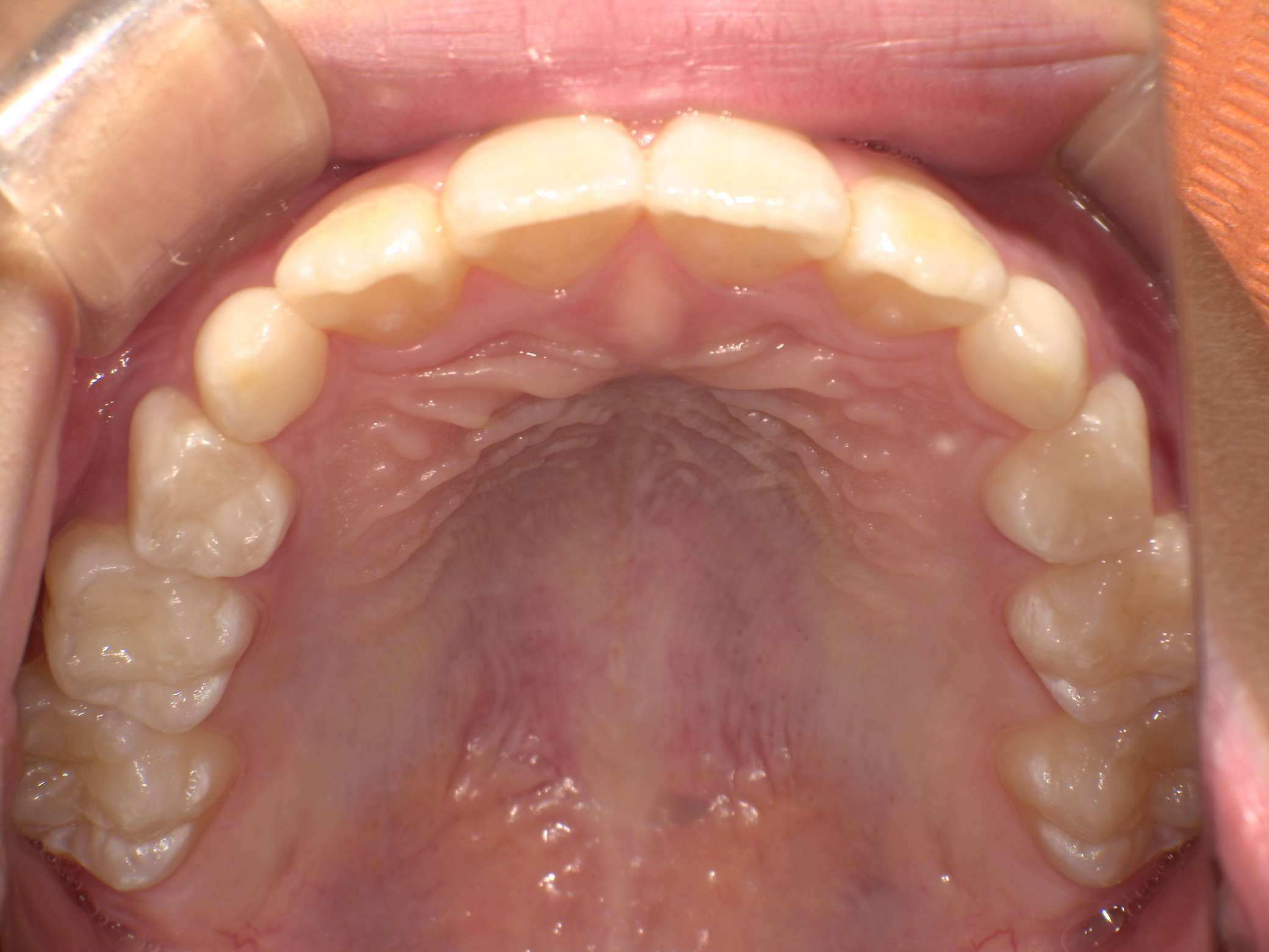
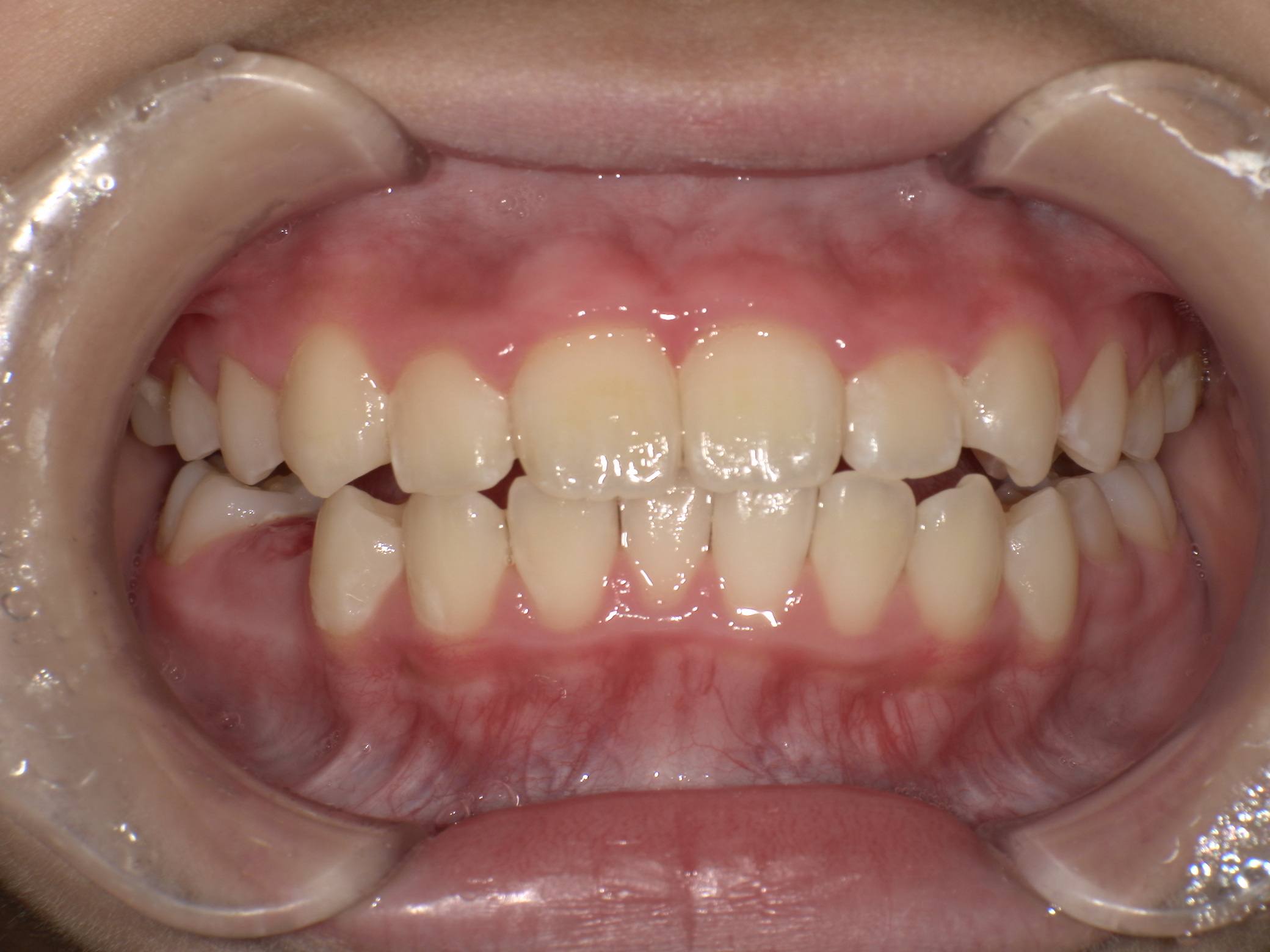
症例
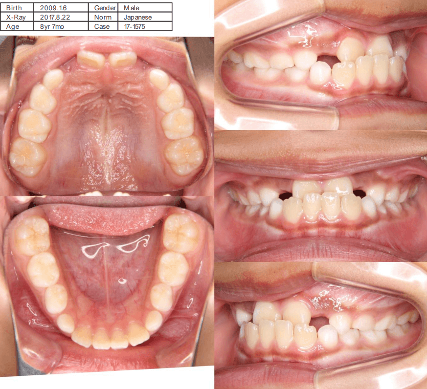
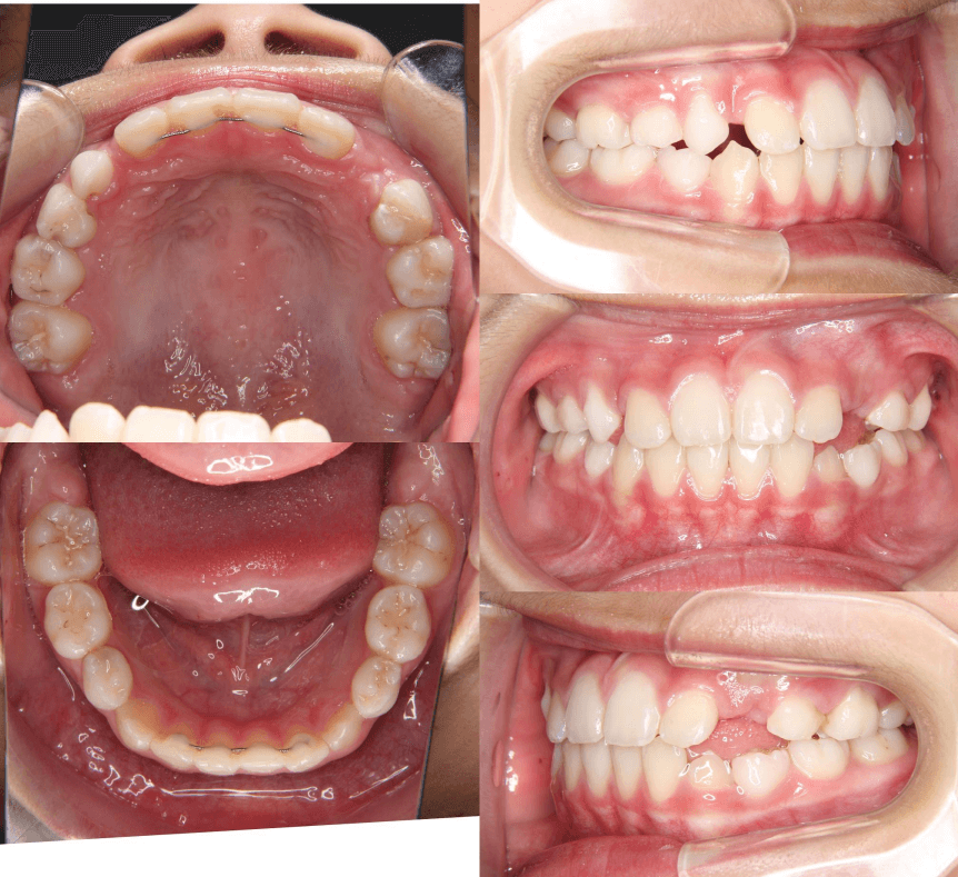
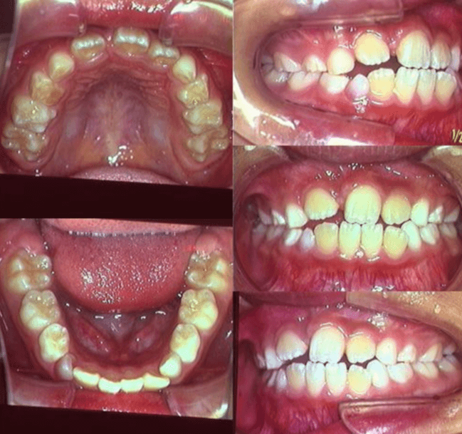
早期矯正治療 反対咬合症例①




主訴 | 前歯がうまく噛み合わず、食事時に違和感があるとのことで来院されました。保護者様からは、将来的な歯並びの不安についてもご相談がありました。 |
---|---|
診断結果 | 8歳7か月の男児 前歯の反対咬合(下顎前突)診断 |
治療内容 |
|
治療後の経過 | 動的治療は1年3か月で完了。反対咬合は改善されました。現在は3〜4か月ごとの定期検診で経過観察中で、今後本格的な矯正治療へ移行予定です。 |
治療期間 | 動的治療期間:1年3か月 治療回数:11回 |
治療費用 | 400,000円(税別) |
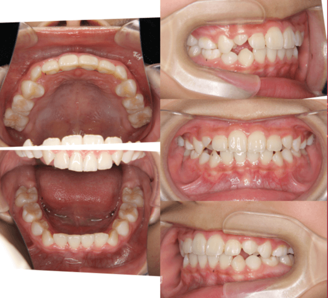
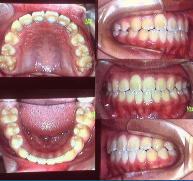
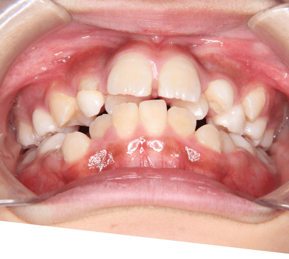
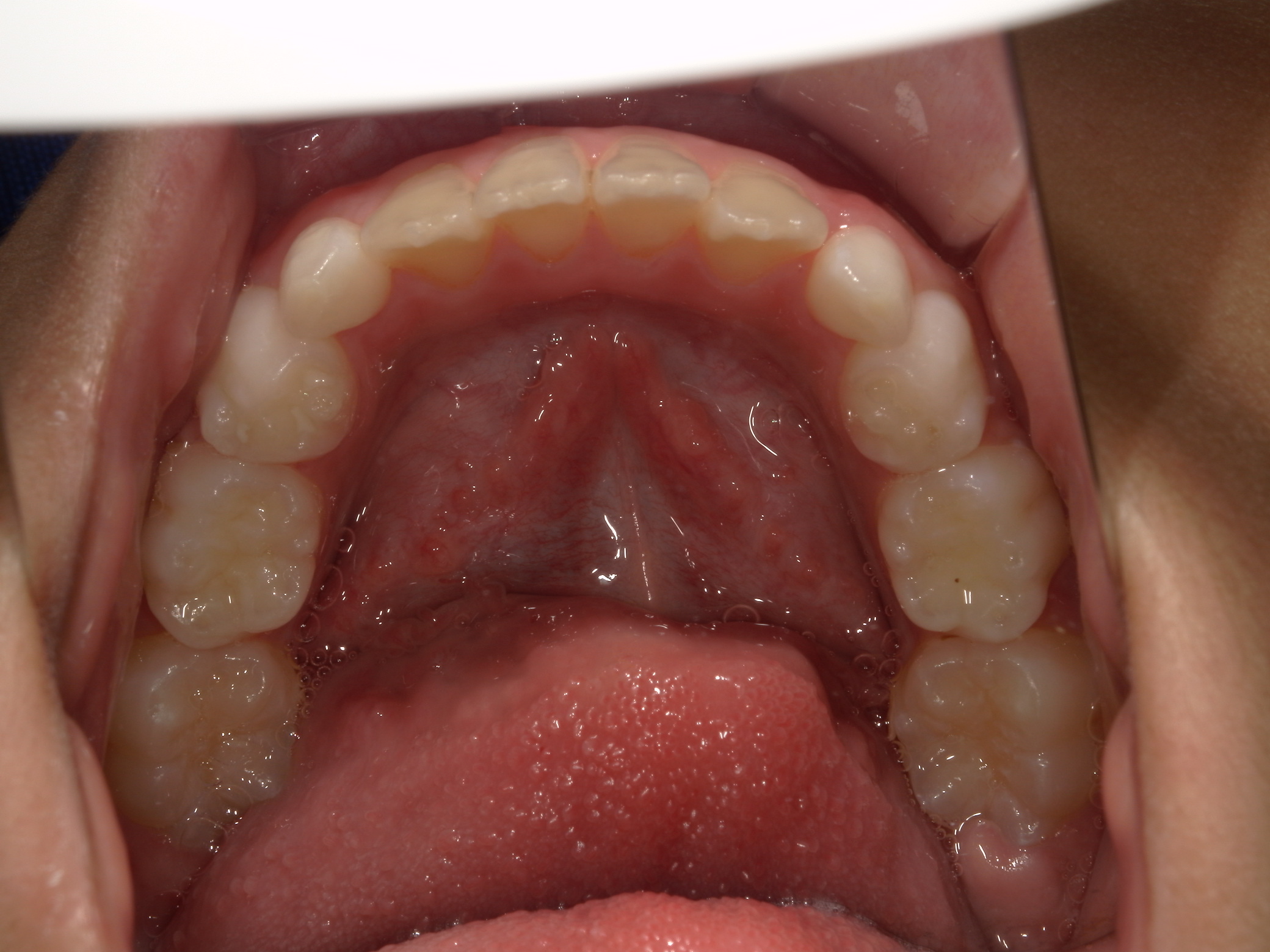
早期矯正治療 反対咬合症例②




主訴 | 前歯の噛み合わせが逆で、見た目や食事に違和感があることを心配されて来院されました。 |
---|---|
診断結果 | 7歳8か月の男児 前歯の反対咬合診断 |
治療内容 |
|
治療後の経過 | 早期矯正治療は11歳5か月で終了し、現在は3〜4か月ごとの定期検診で経過観察中で、今後本格的な矯正治療へ移行予定です。 |
治療期間 | 3年6か月 |
治療費用 | 430,000円(税別) |
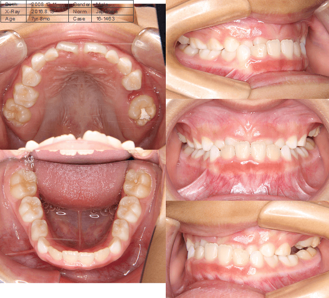
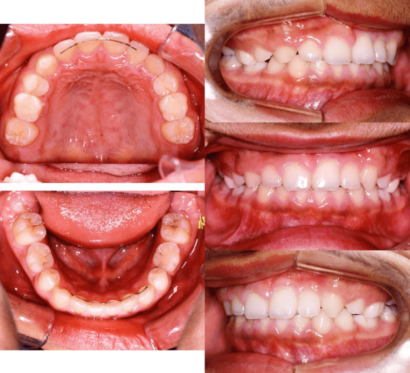
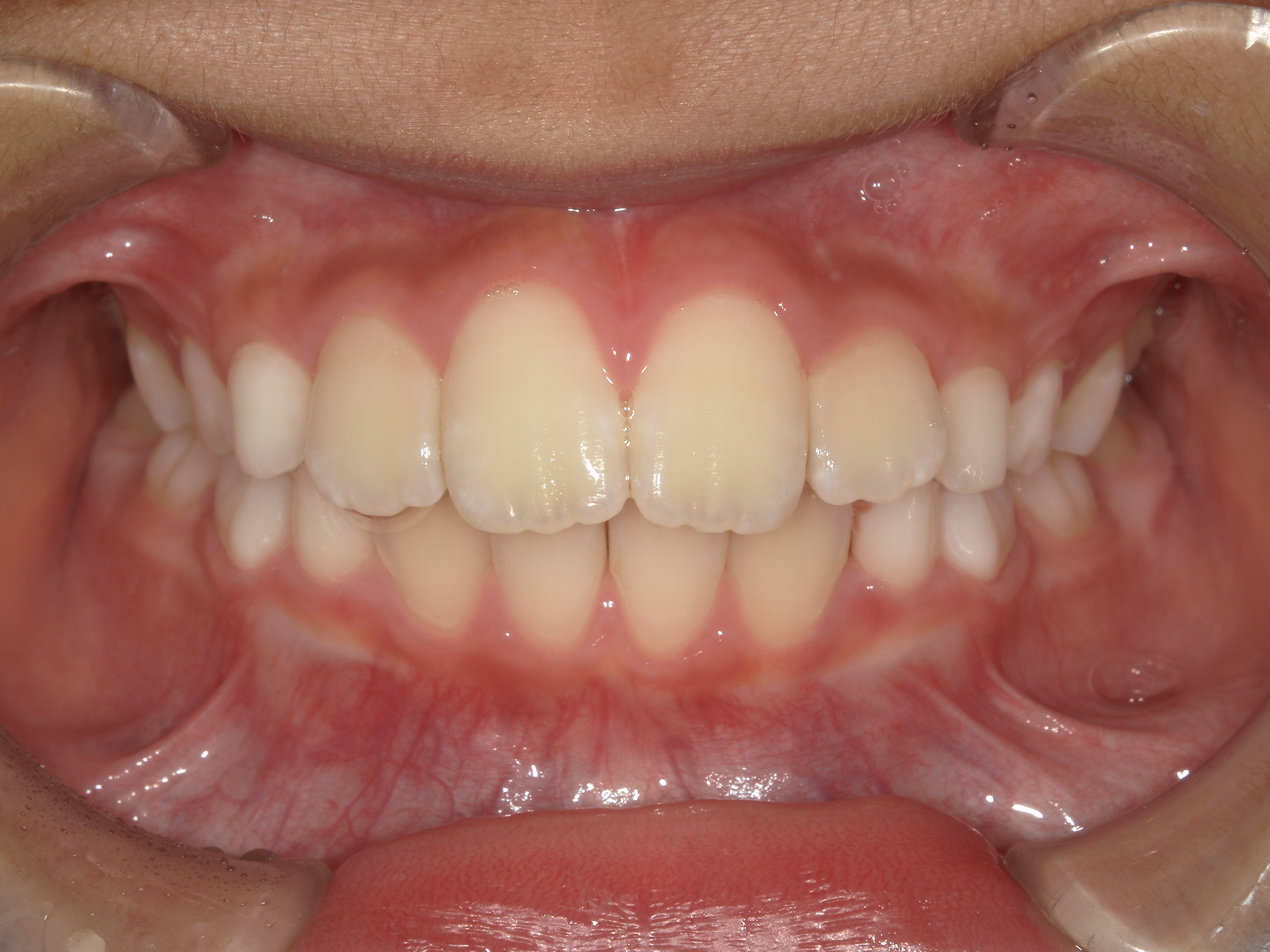
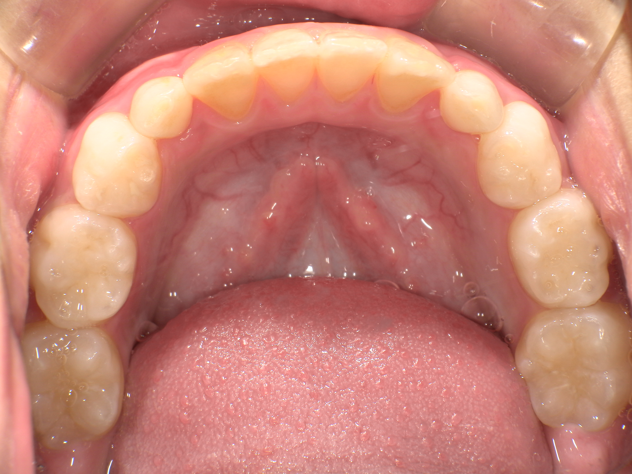
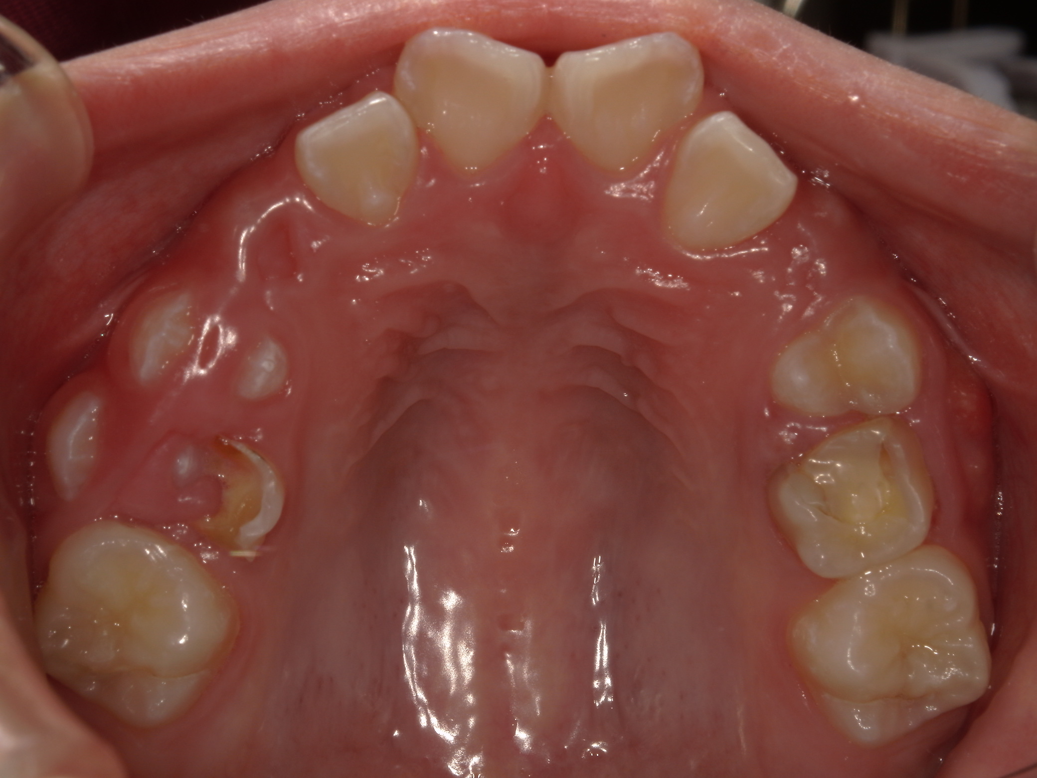
早期矯正治療 開咬症例




主訴 | 前歯がしっかり噛み合わず、食事時に違和感を覚えて来院された患者様です。 |
---|---|
診断結果 | 6歳6か月の女児。 上下の前歯が接触せず隙間があり、開咬と診断されました。 |
治療内容 |
|
治療後の経過 | 1年11か月間の動的治療により、前歯の噛み合わせが改善されました。現在は3〜4か月ごとに定期検診を行い、上下顎の骨の成長や永久歯の萌出状況を確認しながら、本格矯正治療のタイミングを検討しています。 |
治療期間 | 動的治療期間:1年11か月 治療回数:18回 |
治療費用 | 400,000円(税別) |
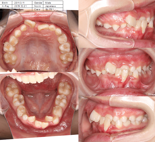
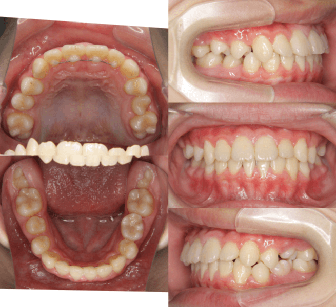
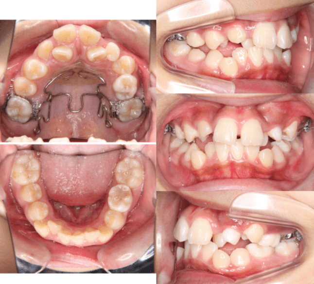
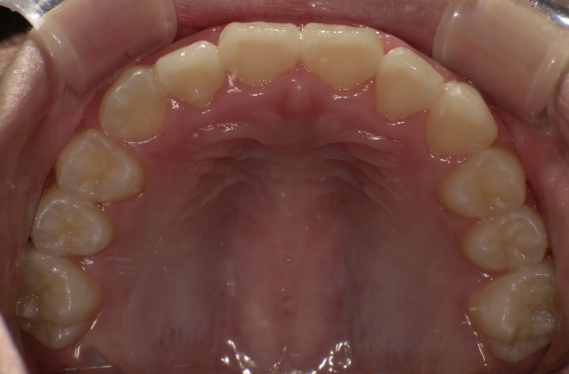
早期矯正治療 交叉咬合症例










主訴 | 前歯の咬み合わせが逆になっており、歯根や歯肉への影響を懸念されて来院された患者様です。 |
---|---|
診断結果 | 8歳9か月の男児。 上下前歯の交叉咬合と、下顎前歯部の歯肉退縮傾向が認められました。 |
治療内容 |
|
治療後の経過 |
|
治療期間 | 動的治療期間:3年7か月 通院回数:20回 |
治療費用 | 460,000円(税別) |
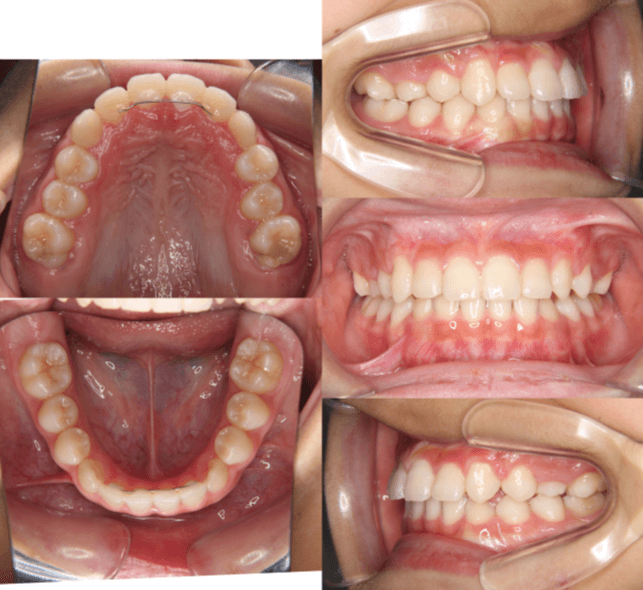
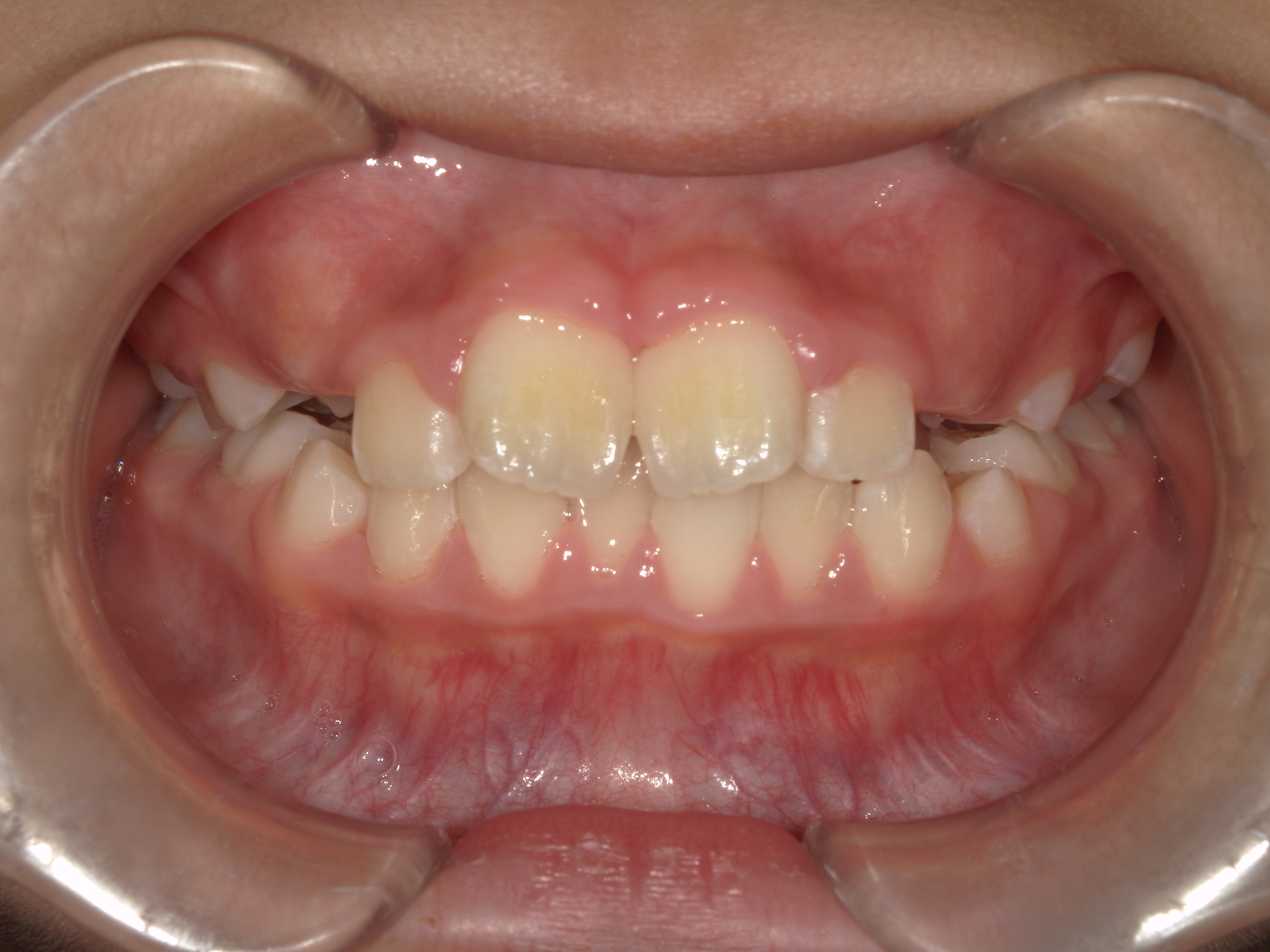
早期矯正治療 叢生症例①










主訴 | 歯の生えるスペース不足が懸念され、歯列の乱れ(叢生)を整えるために来院された患者様です。 |
---|---|
診断結果 | 7歳1か月の男児。 叢生の進行が見込まれると診断されました。 |
治療内容 |
|
治療後の経過 | 1年3か月の動的治療を通じて、上下顎の歯列が改善されました。 治療終了後は3〜4か月に一度の定期検診を継続しており、本格矯正治療の開始時期を判断していく方針です。 |
治療期間 | 動的治療期間:1年3か月 通院回数:11回 |
治療費用 | 420,000円(税別) |
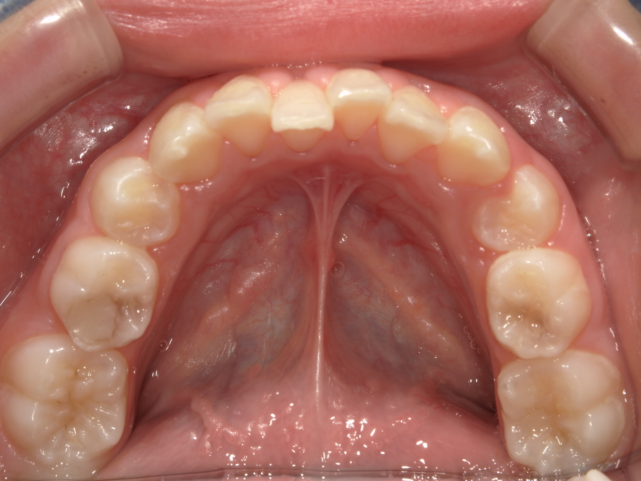
早期矯正治療 叢生症例② 翼状捻転










主訴 | 歯並びの乱れを気にされて来院された患者様です。将来的なスペース不足と歯のねじれ(翼状捻転)が懸念されました。 |
---|---|
診断結果 | 8歳9か月の女児。 歯列全体に叢生(乱れ)が認められました。翼状捻転による咬合不調も確認されています。 |
治療内容 |
|
治療後の経過 | 動的治療は2年10か月で終了後も3〜4か月ごとに定期検診を実施し、上下顎骨の成長発育が落ち着いてから本格矯正治療を行います。 |
治療期間 | 動的治療期間:2年10か月 通院回数:19回 |
治療費用 | 430,000円(税別) |
早期矯正治療 埋伏歯症例①






主訴 | 上顎の永久歯の位置がおかしいとのことで来院。萌出していない右上の前歯の状態に不安を抱えられていました。 |
---|---|
診断結果 | 8歳11か月の男児。早期対応が必要と判断されました。 |
治療内容 | 埋伏してる上顎右側をけん引するために、上顎にリンガルアーチを装着しました。 口腔外科医に開窓術を施術していただき、埋伏歯の牽引を開始しました。 |
治療後の経過 | 早期矯正治療終了後、3~4か月おきに定期検診を行います。 上下顎第2大臼歯(真中から7番目の永久歯)が生え揃い、上下顎骨の成長発育が落ち着いてから本格矯正治療を行います。 |
治療期間 | 動的治療期間:約3年2か月 |
治療費用 | 440,000円(税別) |
早期矯正治療 埋伏歯症例②












主訴 | 上顎前歯の位置異常に不安を抱え、歯並びと将来的な咬合状態を整える目的で来院された患者様です。 特に左側の前歯(中切歯および側切歯)の萌出が確認できないことがきっかけとなりました。 |
---|---|
診断結果 | 8歳3か月の男児。 左上1番(中切歯)と左上2番(側切歯)が埋伏し、発育方向にも異常が認められました。加えて、一部先天性欠如も確認されており、歯列全体の成長に影響を及ぼす可能性があると診断されました。 |
治療内容 |
|
治療後の経過 | 動的治療後は3〜4か月ごとの定期検診を行い、上下顎の骨の成長や第二大臼歯の萌出状況を確認しながら、本格的な矯正治療を行う |
治療期間 | 動的治療期間:約5年10か月 |
治療費用 | 460,000円(税別) |
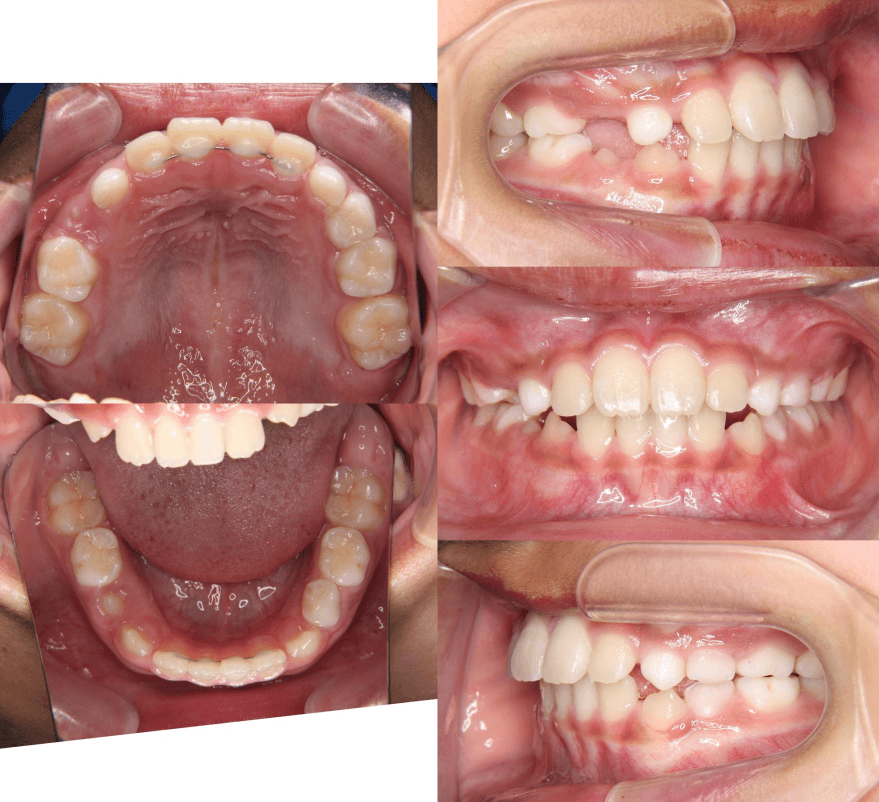
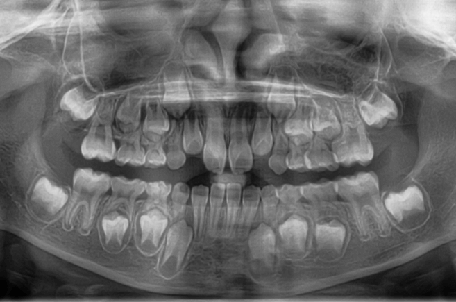
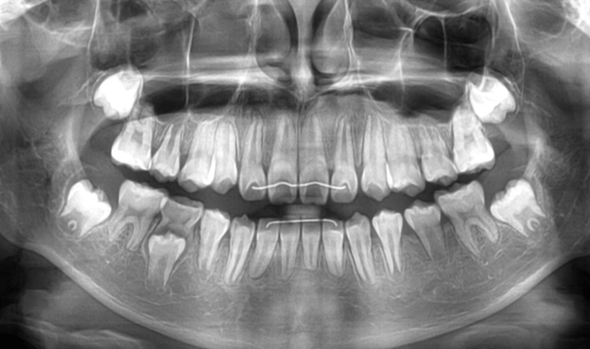
上歯前突+叢生症例 成長期














主訴 | 口元の突出感と歯並びが気になり、将来的な咬合状態を整える目的で来院された患者様です。 |
---|---|
診断結果 | 11歳1か月の女性。骨格的には日本人標準に近く、歯性の上顎前突および叢生が認められました。上下顎ともに歯列のスペース不足があり、永久歯の萌出や歯列の整列に支障をきたす可能性があると診断されました。 |
治療内容 |
|
治療後の経過 | 動的治療終了後は、上下顎の歯列が整い、口元の突出感と叢生が改善されました。審美的・機能的なバランスが取れた状態となり、現在は取り外し式リテーナーを使用し、保定期間に移行しています。 |
治療期間 | 動的治療期間:2年6か月 通院回数:25回 |
治療費用 | 720,000円 |
バイオネーターの症例








主訴 | 出っ歯が気になる |
---|---|
治療内容 | バイオネーター |
治療期間 | 1年11ヶ月 |
治療費用 | 330,000円(税込) |
バイオネーターの症例








主訴 | 上の前歯が気になる |
---|---|
治療内容 | バイオネーター |
治療期間 | 1年 |
治療費用 | 330,000円(税込) |

アクセス・診療時間

〒277-0837 千葉県柏市大山台2-3-1
モラージュ柏2階 213
- 診療時間
- 10:00~13:30/15:00~19:30
(土曜は19:00まで) - 休診日
- 木曜・日曜・祝日
※日曜矯正不定期あり(10:00~14:00/15:00~19:00) - TEL
- 04-7137-6001
ご相談・ご予約はお気軽にご連絡下さい。