矯正歯科
矯正歯科とは

矯正歯科は、悪い歯並びや悪い噛み合わせなどの問題を解決して、きれいな歯並びにする治療です。歯並びが悪いと、歯磨きをしても磨き残しができやすくなり、虫歯や歯周病のリスクが高まります。それだけでなく、歯並びの悪さをそのままにしておくと、食べ物が上手く噛めなかったり、歯槽膿漏のリスクが上昇したり、口臭の原因になったりします。
具体的には次の歯並び(不正咬合)に対して治療を行います。
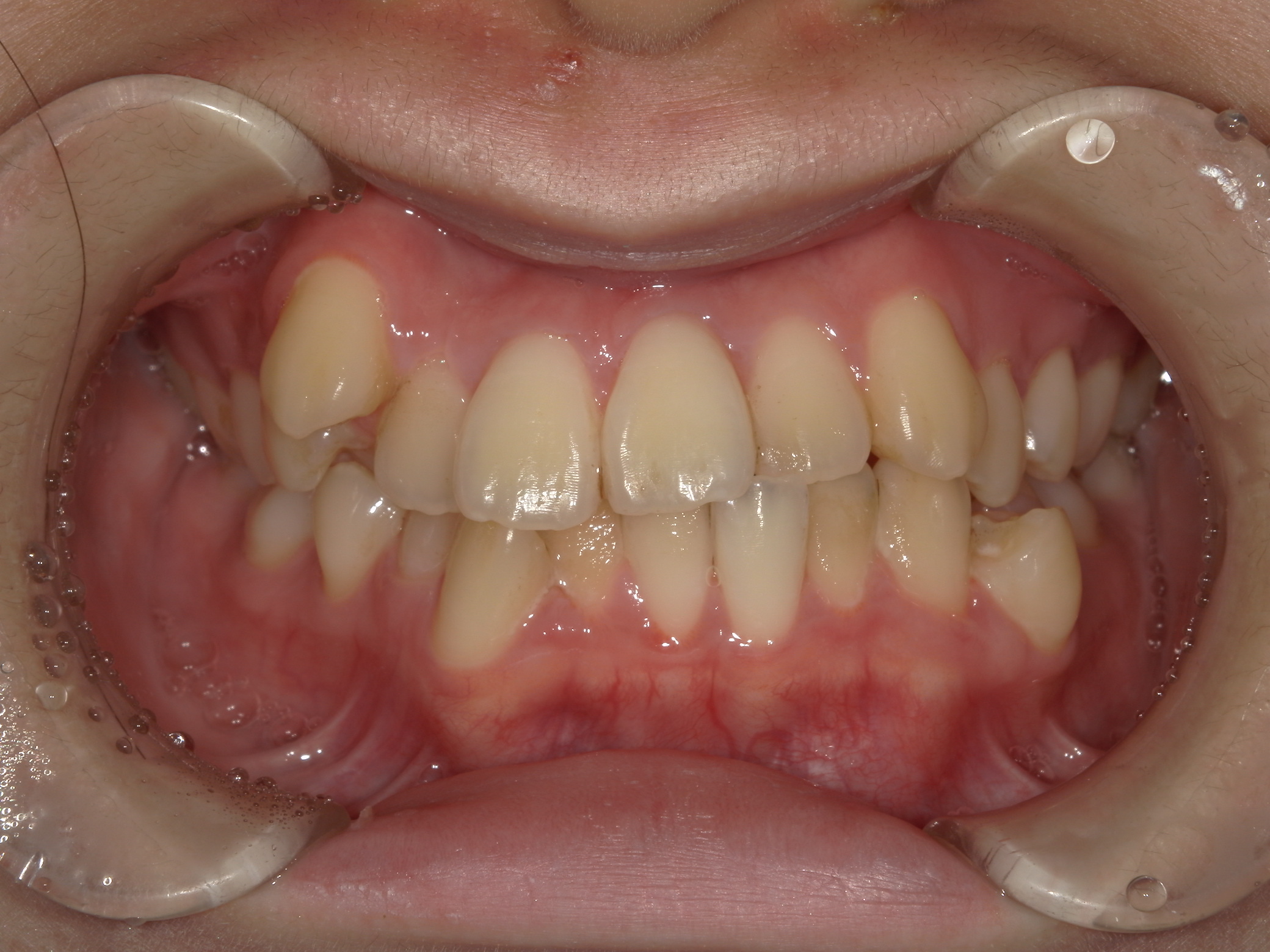
- 叢生(八重歯・乱ぐい歯):歯並びが凸凹している状態です。ブラッシングが難しいため、虫歯や歯周病、口臭、歯の着色リスクが上がります。
- 上顎前突(出っ歯):上の前歯、もしくは全体の歯が前に出ている状態です。前歯をぶつけた際に折れたり、口の乾きによって虫歯や歯周病、口臭のリスクも上がります。
- 反対咬合(受け口):下の歯が上の歯よりも前方に出ている状態で、しゃくれとも呼ばれています。遺伝的な骨格性によるものと、噛み合わせが逆(上の歯が内側に、下の歯が外側にそれぞれ傾斜)によるものがあります。食事の際の噛みにくさや、滑舌悪化のリスクがあります。
- 開咬:噛み合わせた際に前歯が噛み合わず、隙間ができてしまう状態です。原因のひとつとして、幼少期の指しゃぶりが挙げられます。食事の際の噛みにくさや滑舌の悪化、顎関節症のリスクがあります。
など
そして矯正歯科は、ただ歯並びをきれいに整えるだけでなく、噛み合わせを改善したり舌足らずのような発音を改善したりする目的もあります。歯並びが悪いと顎の関節にも負担がかかるため、顎の痛みや周囲の筋肉の痛みなどにもつながることがあります。
当院で行っている矯正歯科のメニューは大きく分けると、「ワイヤー矯正」「マウスピース矯正」の2つです。
矯正歯科の重要性
歯並びの悪さは、見た目の問題として取り上げられがちですが、実はそうした見た目の問題以外にも次のことにも影響を及ぼす可能性があります。
- 噛む
- 飲み込む
- 話す
- 呼吸する
など
またこうした歯並びが悪い状態を放置すると、顎の正常な成長や発育が阻害されることもあり、成長期のお子さんにとってもよくありません。歯並びが悪いせいで硬い食べ物を避けるようになることも顎の発育の阻害につながるおそれがあります。
さらに、歯並びが悪いと、毎日の歯磨きで磨き残しができやすくなってしまいます。歯が重なるように生えていたり、全体的にガタガタしているような歯並びでは、整った歯並びに比べて虫歯や歯周病のリスクが高まります。
矯正歯科で歯並びを整えることで、見た目の美しさを実現するとともに、お口の機能改善や虫歯・歯周病の予防もしていきましょう。
矯正歯科のメリット
歯並びの改善によって自信が持てるようになる
矯正歯科の1番のメリットは、見た目の改善によってコンプレックスが解消され、自信がつくことです。乱ぐい歯や出っ歯、受け口などが改善されることにより、Eライン(エステティックライン)が整って、顔の印象まで変わるケースもあります。
Eラインとは、横顔の鼻先とあごをつないだラインのことを指し、このライン内に口先が収まっていると横顔が綺麗に見えるとされています。
虫歯・歯周病のリスクが減る
歯並びが改善されると、ブラッシングの際の磨き残しが減り、虫歯や歯周病のリスクが下がります。不正咬合の状態だと、どうしても歯ブラシが当たりづらい場所が出てくるため、汚れが蓄積されてしまいます。
また、口がしっかり閉じるようになり、口内の乾きも改善されます。これにより唾液の分泌量が正常になり、口内の食べカスを流してくれたり、雑菌の繁殖を防いでくれたりします。
咀嚼の改善
歯並びの改善により、咀嚼に関するあらゆるメリットがもたらされます。歯が正常に噛み合うため、歯とその周辺組織、さらには消化時の胃腸への負担が減ります。
また、よく噛めるようになることで唾液の分泌量が増え、口内の雑菌繁殖が阻止されて口臭予防にもつながります。周囲の人に不快感を与える過度な咀嚼音も、改善されるケースがあります。
顎関節症や関連する症状の改善
不正咬合によって、顎の関節に負担がかかり、顎関節症になるリスクが上がります。顎関節症とは、顎の痛みや口を大きく開けるのが困難、口を開けた際に音が鳴るといった症状です。
歯並びが改善されることにより、顎関節症のほか、関連する頭痛や肩こりといった症状も良くなるケースがあります。
リスク・副作用
顎関節症や関連する症状の改善
矯正歯科の治療中は、どうしても痛みや違和感が発生します。特に、ワイヤーの調整後やマウスピースの新調後は、歯に圧力が加わって鈍痛を感じることもあります。また、裏側矯正の場合は、口内に装置が触れて口内炎が発生しがちです。
ただ、この痛みや違和感は、通常数日間で収まります。口内炎についても、粘膜の強化によってだんだんできにくくなっていくため、過度に心配する必要はありません。
磨き残しによって虫歯や歯周病のリスクが上がる
基本的に治療中は、口内にずっと装置がついている状態です。そのため、ブラッシングの難易度が上がって磨き残しが発生する恐れがあります。歯の表面に装置がつけられているため、歯と装置の間に細菌がたまって虫歯や歯周病のリスクが上がります。
歯科衛生士による指導のもとでブラッシングやフロスを行うこと、定期的に一般歯科の診察を受けるなどして、早期発見・早期治療につなげることが大切です。
健康な歯を抜歯することがある
口腔内の状況によっては、矯正歯科の際に元の歯を抜歯することがあります。具体例を挙げると、顎が小さく歯を動かすためのスペースが確保できない場合、親知らずが歯並びを乱している場合、上下の顎にずれが起きている場合などです。
健康な歯を抜歯することに抵抗を感じる方も多くいらっしゃるかもしれませんが、より綺麗な歯並びが目指せるほか、元の歯や歯茎への負担も減らせます。当院では、診察時に十分な検査をした上で抜歯を決めますので、ご安心ください。
後戻りの可能性がある
矯正歯科終了後の状況によって、歯並びが後戻りしてしまうリスクがあります。原因として、リテーナー(保定装置)が十分につけられていなかったこと、舌癖、親知らずを抜歯しなかったことなどが挙げられます。
ただ、これらは日々のケアや抜歯の検討によって防ぐことができる現象です。リテーナーは医師が定めた期間しっかり装着すること、舌を正しい位置に置くこと、親知らずの抜歯をすることで、綺麗な歯並びがキープできます。
矯正歯科の方法の選び方
予算で選ぶ
経済的に無理のない範囲で治療を進めたい方は、予算で矯正方法を選ぶのがおすすめです。矯正歯科は基本的に保険適用がされず、自由診療扱いとなります。
そのため、部分矯正だと約10万〜70万、全体矯正だと約60〜160万の費用がかかります。なお、治療費で選ぶ場合はマウスピース矯正や表側矯正が人気です。
治療中の見た目で選ぶ
矯正歯科は口内に装置をつけて行うため、治療中の審美性が気になるという方も多くいらっしゃいます。治療中、どのような見た目で過ごしたいかによって、矯正方法を選ぶのもひとつの手です。
目立ちにくい矯正方法は、装置を歯の裏面につける裏側矯正、透明なマウスピースを装着するマウスピース矯正が挙げられます。
衛生面で選ぶ
治療中の口腔内が衛生的か否かで、矯正方法を選ぶ方もいらっしゃいます。矯正をしながら口腔内ケアがしやすい方法は、圧倒的にマウスピース矯正です。装置を外してからブラッシングやフロスを行えるためです。
そのほかの方法も適切なケアを行えば問題ないのですが、衛生面が気になる方にはマウスピース矯正をおすすめします。
当院で行っている矯正歯科
当院で行っている主な矯正方法は「ワイヤー矯正」「マウスピース矯正」の2つです。患者様のご要望をお伺いしながら、症例にあわせた治療法をご提案いたします。
ワイヤー矯正
当院では「マルチブラケット」「舌側矯正」「床矯正」などのワイヤーを使った矯正を行っています。
マルチブラケット(表側矯正)

マルチブラケットは世界的にも最もポピュラーな矯正方法です。歯の表側の表面1つずつにブラケットと呼ばれるパーツを接着して、ワイヤーを通すことで歯並びを整える矯正方法です。ワイヤーの曲げ方によって歯を動かすスピードや強さをコントロールすることができます。
マルチブラケットを使った表側矯正は、抜歯が必要な歯並びにも対応しており、およそほとんどの症例で適用可能です。現在では白いブラケットやワイヤーも登場しており、より審美性が高くなっています。
舌側矯正(裏側矯正)

舌側矯正(裏側矯正)は、歯の裏側にブラケットとワイヤーを通す矯正方法です。表から見ると、矯正器具は見えないため、審美性に優れています。そのため、しっかり歯を動かしたいけれど、矯正装置が目立つことに抵抗がある方に向いている矯正方法です。
ただし、表側矯正に比べて、術者の高い技術が求められることや、専用のパーツを使用しなければならなかったりするため、費用は高くなる傾向にあります。そして、基本的な矯正方法は同じですが、表側矯正と異なりすべての方に適用があるわけではない点には注意が必要です。
床矯正

床矯正は小児の矯正歯科で使用される矯正装置です。プラスチック製の床と歯を固定するワイヤーで構成されており、取り外すこともできます。歯それぞれを大きく動かすマルチブラケットとは異なり、顎や歯並びの幅を拡大させて窮屈な歯並びを改善するのに用いられます。
顎の発育が期待できる時期に使用するため、大人では適用がありません。
マウスピース矯正

マウスピース矯正とは、文字通りマウスピースを装着して歯並びを整える矯正方法です。自由に取り外しができ、見た目も自然なことから審美性にも優れています。
当院ではインビザラインを取り扱っております。
世界的に幅広く普及しているのが「インビザライン」です。アライナー(マウスピース)を飲食などを除く1日20時間以上装着することで、歯を効果的に移動させます。
マウスピース矯正は、最初の型取りをしたら終わりではなく、定期的に通院して歯の動きにあわせてマウスピースも交換します。インビザラインは部分矯正や小児矯正にも対応しているため、幅広い方に適用可能です。
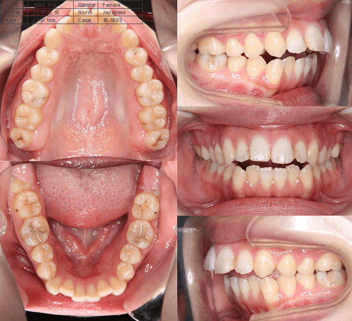
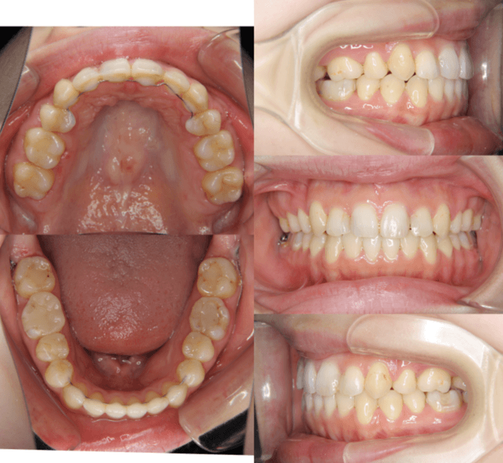
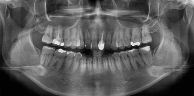
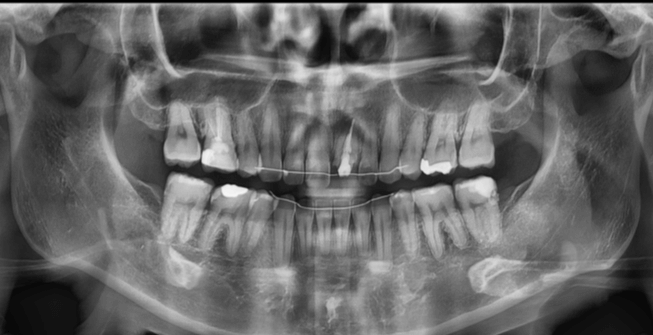
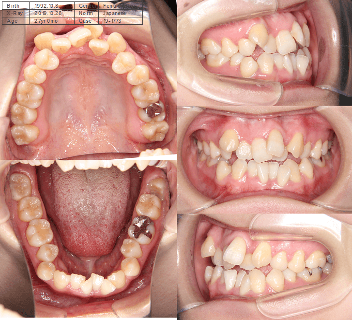
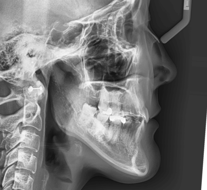
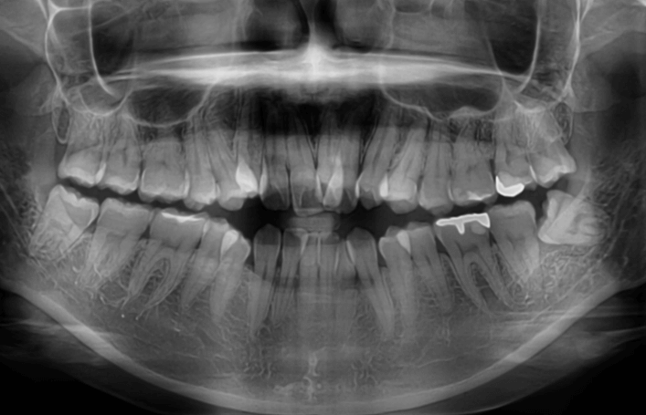
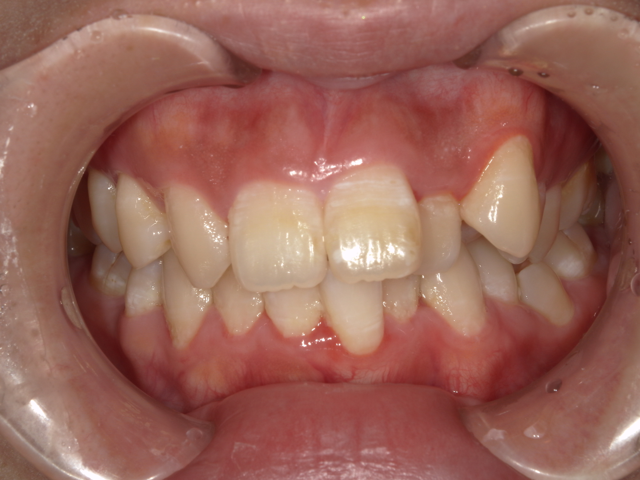
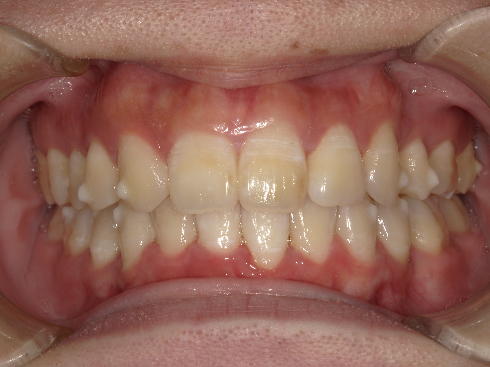
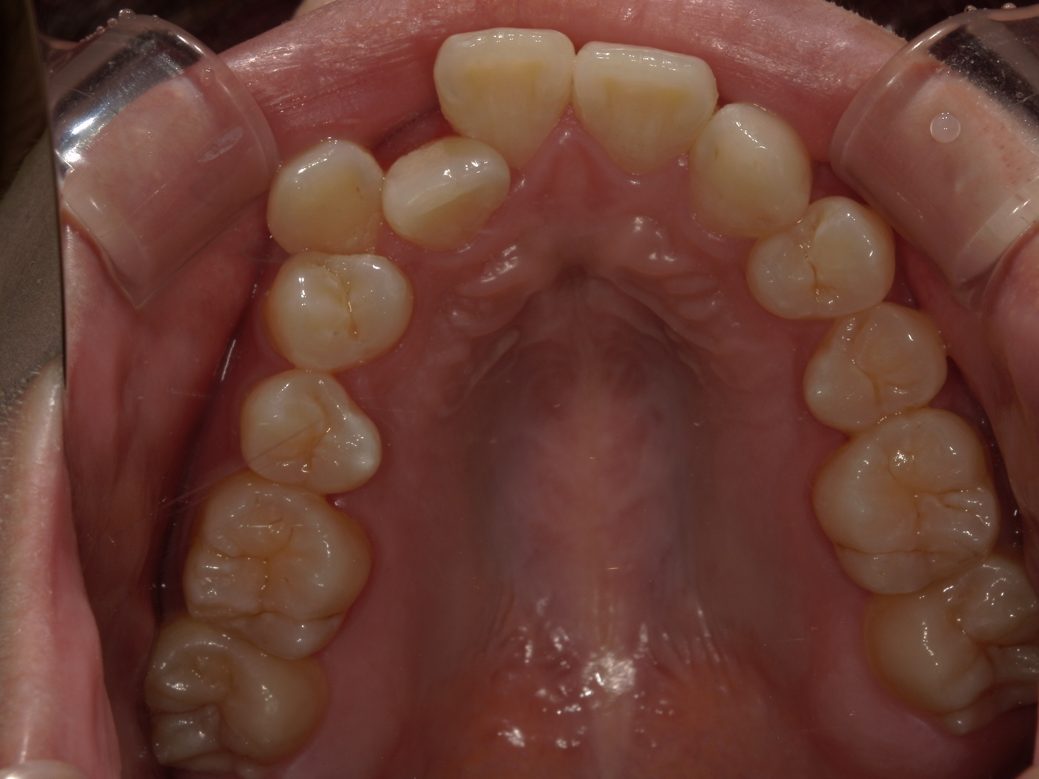
症例
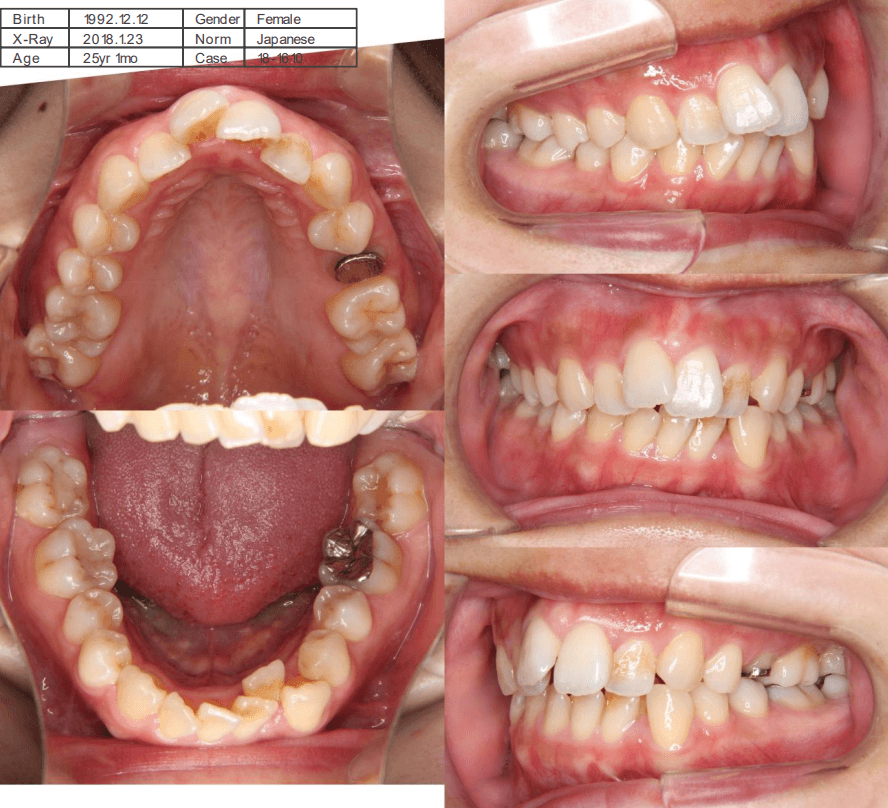
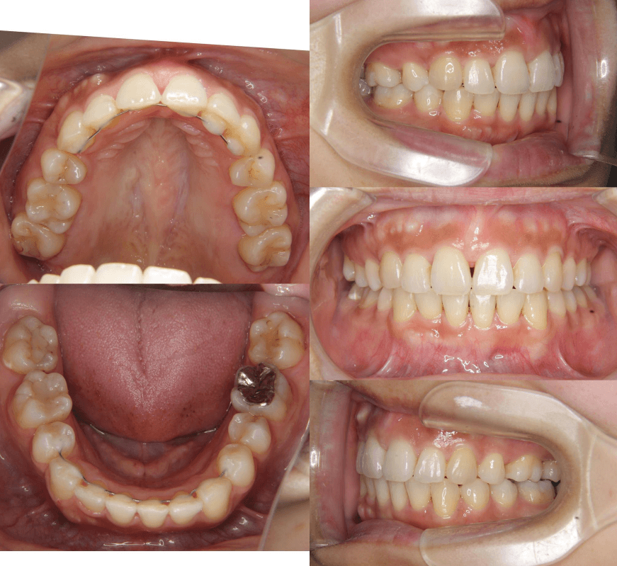
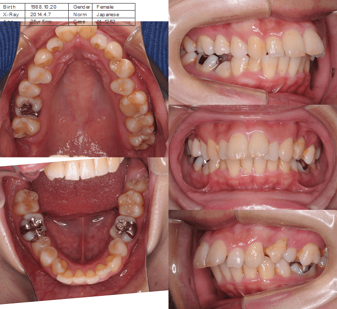
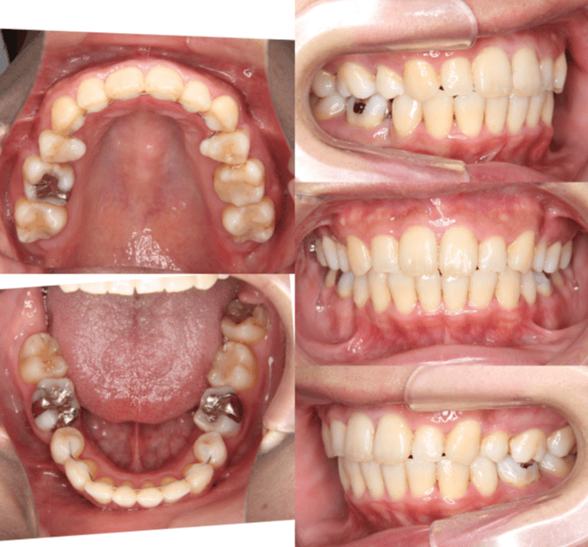
前歯の歯並びの乱れ(叢生)が気になる












| 年齢・性別 | 25歳女性 |
|---|---|
| 主訴 | 前歯の歯並びの乱れ(叢生)を気にされて来院された。咬み合わせや審美的な改善を希望されていました。 |
| 治療期間・回数 | 4年5ヶ月・30回 |
| 費用 | 1100,000円(税別) |
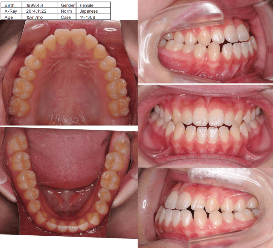
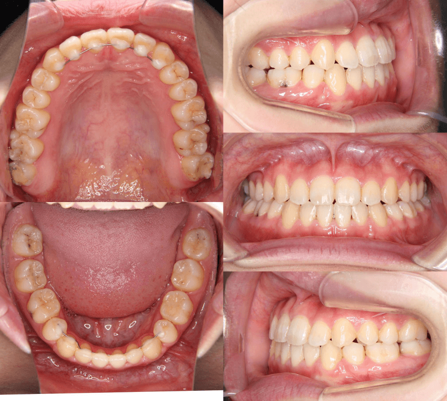
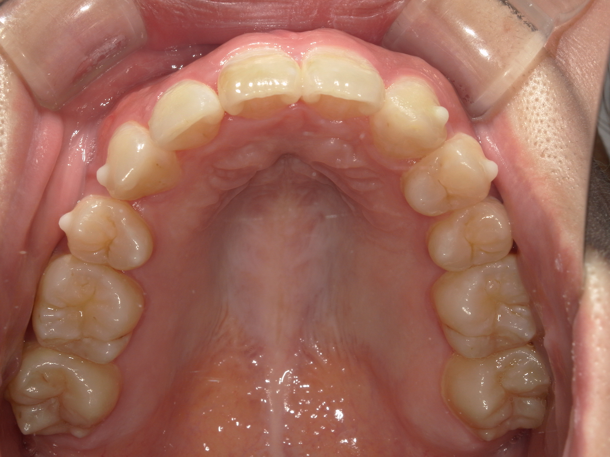
咬み合わせが逆であること(反対咬合)が気になる








| 年齢・性別 | 15歳 女性 |
|---|---|
| 主訴 | 咬み合わせが逆であること(反対咬合)を気にされて来院された女性。見た目や機能面の改善を希望されていました。 |
| 治療期間・回数 | 4年4ヶ月・28回 |
| 費用 | 900,000円 |
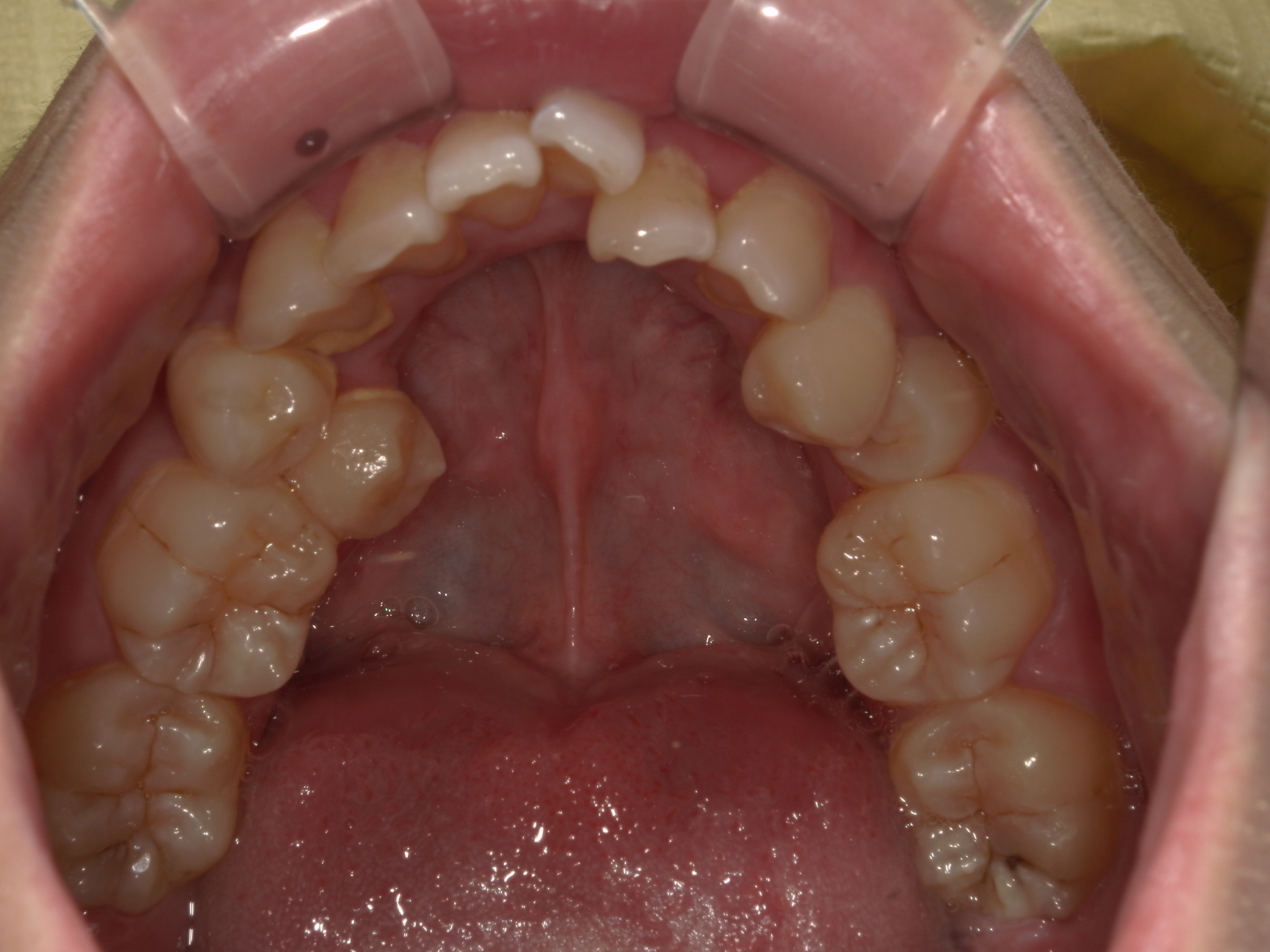
開咬と口元の突出感が気になる














| 年齢・性別 | 22歳の女性 |
|---|---|
| 主訴 | 上下顎前歯部に開咬と口元の突出感を気にされて来院された。咬み合わせや審美的な改善を希望されていました。 |
| 治療期間・回数 | 3年9ヶ月・32回 |
| 費用 | 930,000円 |
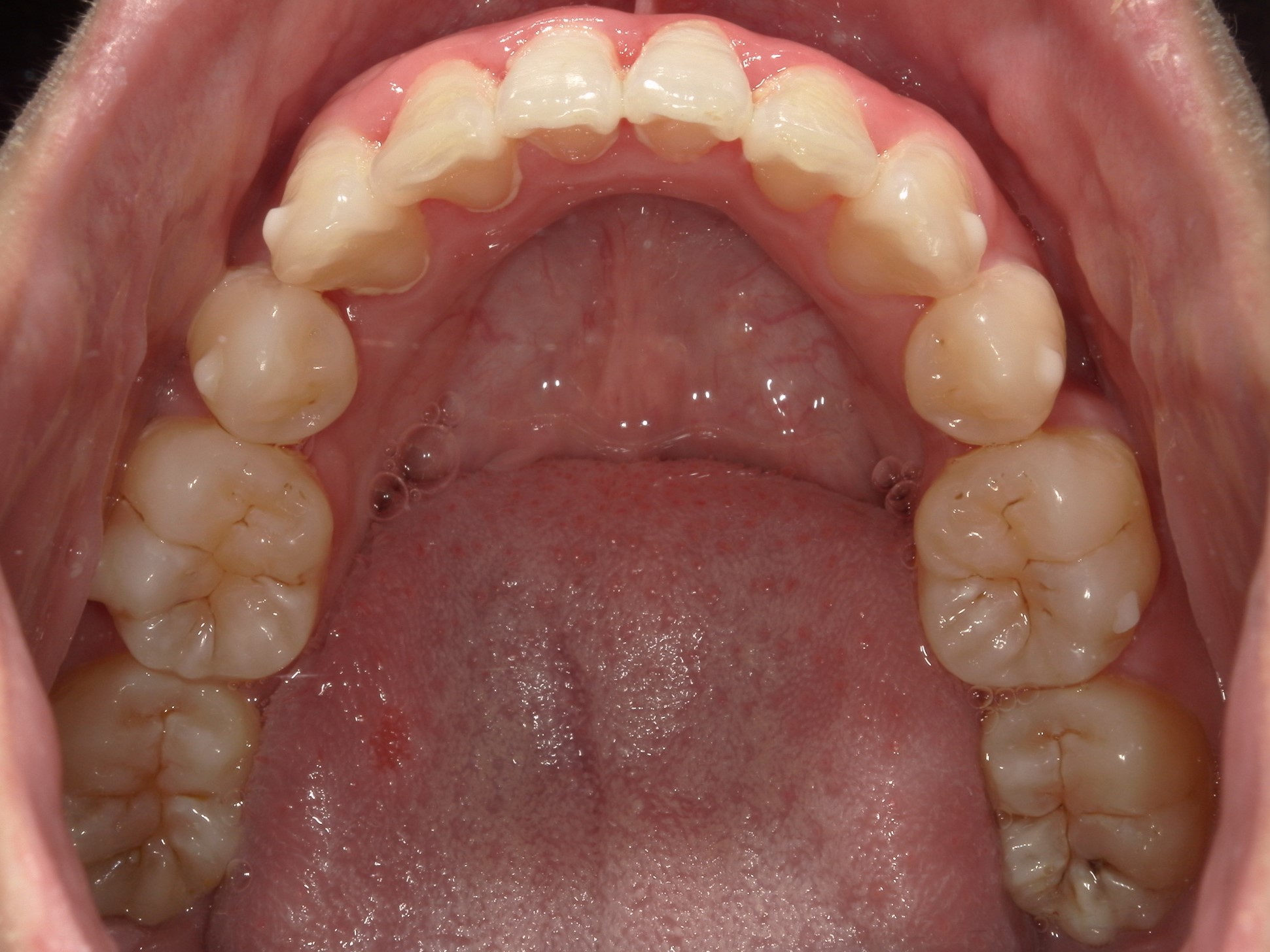
口元の突出感が気になる








| 年齢・性別 |
25歳の女性 |
|---|---|
| 主訴 | 口元の突出感を気にされて来院された。咬み合わせや審美的な改善を希望されていました。 |
| 治療期間・回数 | 3年6ヶ月・30回 |
| 費用 | 1,000,000円 |
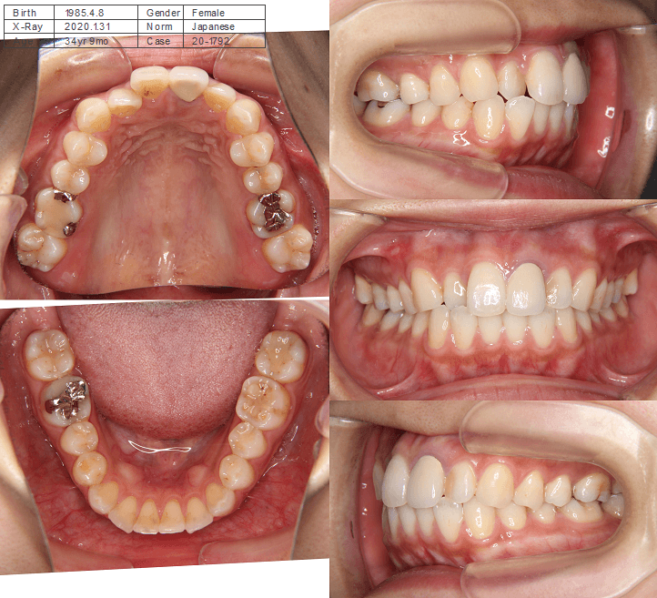
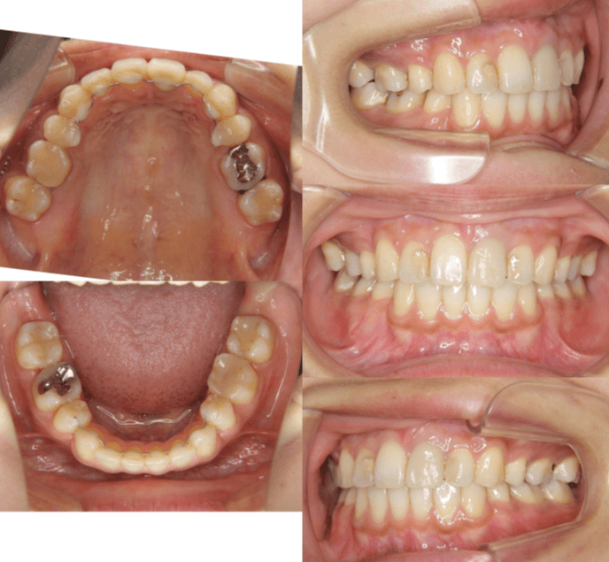
口元の突出感が気になる










| 年齢・性別 | 34歳の女性 |
|---|---|
| 主訴 | 口元の突出感が気になり、将来的な咬合状態を整える目的で来院された患者様です。 |
| 治療期間・回数 | 3年3ヶ月・31回 |
| 費用 | 830,000円 |
歯並びの乱れ(叢生)が気になる










| 年齢・性別 | – |
|---|---|
| 主訴 | 歯並びの乱れ(叢生)を気にされて来院された。咬み合わせや審美的な改善を希望されていました。 |
| 治療期間・回数 | 3年・28回 |
| 費用 | 840,000円 |
叢生が気になる








| 年齢・性別 | – |
|---|---|
| 主訴 | 叢生が気になる |
| 治療期間・回数 | 1年9ヶ月 |
| 費用 | 1,011,000円 |
歯並び・かみ合わせ・口元の見た目が気になる








| 年齢・性別 | – |
|---|---|
| 主訴 | 歯並び・かみ合わせ・口元の見た目が気になるとの事でご相談があり矯正の治療を行いました。 |
| 治療期間・回数 | 2年 |
| 費用 | 1,001,000円 |
矯正歯科の流れ
STEP01:初診・カウンセリング
患者様の現在のお悩みやご希望をお伺いいたします。矯正歯科をする上で不安な点があれば、何でもご相談ください。
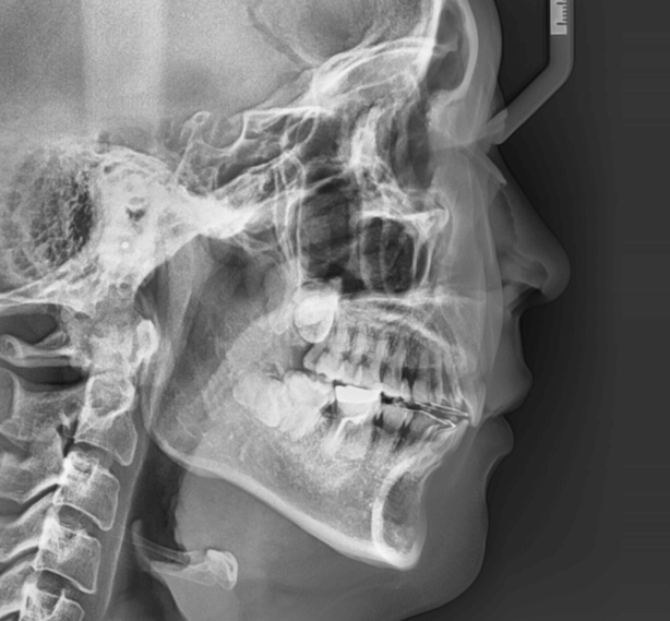
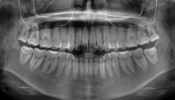
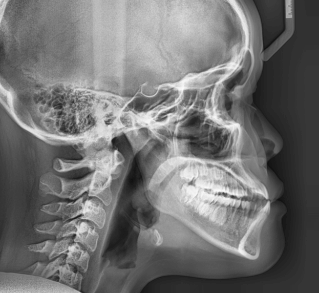
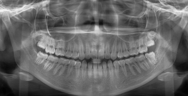
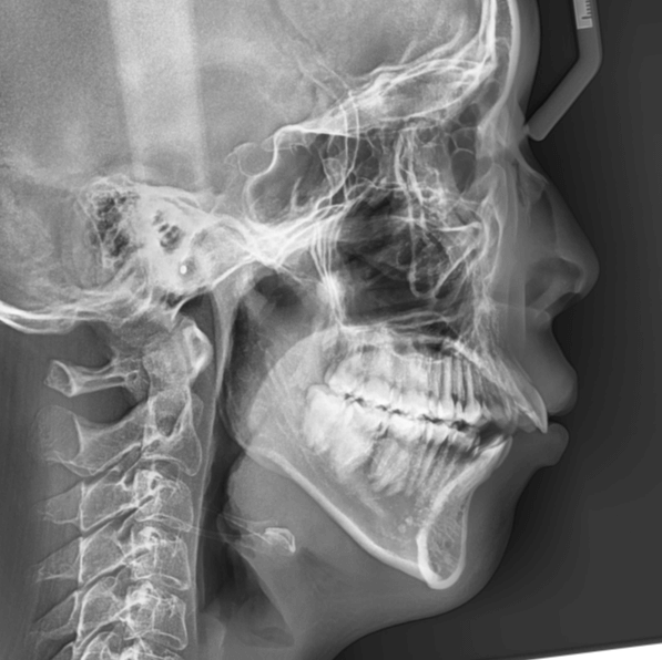
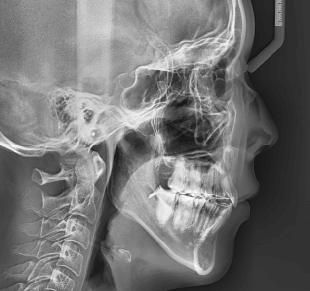
STEP02:口腔内の検査
次に、口腔内スキャンやレントゲン撮影、歯型の採取などを行います。
STEP03:診断
診察や検査結果を元に、今後の治療方針を決定します。具体的には、部分矯正か全体矯正か、どのような方法で矯正するかという点です。この際に、矯正にかかる費用やおおよその期間をお伝えいたします。
STEP04:矯正前の準備
費用や期間に納得していただけましたら、矯正前の準備に入ります。虫歯の治療やクリーニング、必要に応じて元の歯の抜歯を行います。
STEP05:矯正装置を取りつける
いよいよ矯正装置を口内に取りつけます。ワイヤーの装着は1時間ほどかかりますが、マウスピースは到着次第すぐに取りつけられます。
STEP06:定期的に通院して調整を行う
装置を取りつけた後は、定期通院にて調整を行います。ワイヤー矯正の調整ペースは約1ヶ月に1回、マウスピース矯正は約1ヶ月~2ヵ月に1回交換のために通院する必要があります。
STEP07:保定期間
治療が終了したら、保定期間に入ります。期間中は、医師が定めた通りにリテーナーを装着していただき、後戻りを防ぎます。
よくある質問
治療期間はどのくらいかかるの?
元の歯並びや使用する装置によっても異なりますが、平均して全体矯正の場合だと約1〜3年、部分矯正の場合だと数ヶ月〜約1年半の治療期間がかかります。通院頻度の平均は、ワイヤー矯正の場合だと1ヶ月に1回、マウスピース矯正だと約1ヶ月~2ヵ月に1回のペースです。
これに加えて、動かした歯を安定させるための保定期間が必要になります。保定期間中は、リテーナーというマウスピースに似た器具を装着し、後戻りを防ぎます。
具体的な費用は?
マウスピース矯正は、全体矯正で約85万円(税込93.5万円)、部分矯正で約50万円(税込55万円)が目安です。 表側矯正は、症例の難易度や使用するワイヤーの種類によって異なり、部分矯正は約40万〜100万円(税込44万〜110万円)程度、全体矯正では約50万〜100万円(税込55万〜110万円)程度となります。 裏側矯正(ハーフリンガル・フルリンガル)は、審美性に優れた分、費用も高めで、部分矯正は約100万〜140万円(税込110万〜154万円)程度、全体矯正では約110万〜140万円(税込121万〜154万円)程度が目安です。元の歯並びや開始年齢などによって費用も大きく変わってきますので、まずは一度カウンセリングにお越しください。
アクセス・診療時間

〒277-0837 千葉県柏市大山台2-3-1
モラージュ柏2階 213
- 診療時間
- 10:00~13:30/15:00~19:30
(土曜は19:00まで) - 休診日
- 木曜・日曜・祝日
※日曜矯正不定期あり(10:00~14:00/15:00~19:00) - TEL
- 04-7137-6001
ご相談・ご予約はお気軽にご連絡下さい。
