
審美歯科
審美歯科とは

初対面での第一印象はどのくらいの時間で決まると思いますか?驚くべきことに、第一印象はわずか3〜5秒で決まると言われており、そのなかでも目や口元が与える印象は大きいです。
確かに、私たちは広告やCMのわずかな秒数でも登場人物の顔が大きく印象に残っています。口元が美しくきれいな歯並びは清潔感やさわやかな印象を与えますよね。
歯科診療の中でも歯や口元の美しさに焦点を当てた治療を「審美歯科」といいます。審美歯科では歯並びを整えたり、銀歯を白い詰め物に変えたり、歯の色を明るくしたりするなど歯や見た目のコンプレックスの解消を目指した治療です。
審美歯科は虫歯治療などの病気を改善する目的ではないため、治療費は全額患者様負担の自費診療となります。保険診療に比べ費用が高くなる傾向にありますが、その分豊富な選択肢があるため、自分の理想像に近づけやすいというメリットがあります。
当院では豊富なセラミックを取り扱っています。患者様のご予算やご希望にあわせて提案いたしますので、お悩みや希望がありましたらなんでも詳しくお聞かせください。
審美歯科のメリット
自分に自信が持てるようになる
審美歯科を受ける1番のメリットは、歯や口もとに自信が持てるようになることです。歯並びや歯の色をコンプレックスに感じ、笑うときに口もとを隠してしまう、写真を撮られるのが苦手という患者様が多くいらっしゃいます。
審美歯科で歯並びや歯の色を綺麗にしたら、笑顔に自信が持てるようになり、明るい性格に変わったというお声も多くいただいています。
Eラインが整って横顔が綺麗になる
歯や口もとが綺麗になると、お顔全体の印象も良いものへと変わります。中でも、美容分野でよく使われる“Eライン(エステティックライン)”は、審美歯科と大きなかかわりがあります。Eラインとは、鼻先・唇・あご先の3つをつないだラインのことです。このEラインの中に唇が収まっていると、横顔が美しく見えるとされています。
審美歯科を受けることにより、口元が整って美しいEラインを描けるようになる可能性が高くなります。そうなると、必然的に鼻も高く見えるため良いこと尽くしです。
虫歯や歯周病のリスクが軽減できる
審美歯科で口腔内の環境を整えることによって、日々のブラッシングやフロスが格段にやりやすくなります。今まで取りきれなかった汚れも綺麗に取れるようになるほか、そもそも汚れがたまりにくくなるため、虫歯や歯周病のリスク軽減にもつながります。
審美歯科のデメリット
自由診療のみの取り扱い
審美歯科は、治療目的ではなく見た目の美しさに焦点をあてるため、保険適用がされず完全自由診療扱いとなります。セラミック治療は、数万円〜数十万の費用がかかることもあります。
定期的なメンテナンスが必要
審美歯科は、治療を受けて終わりではありません。美しさを保つために、定期的にメンテナンスを受ける必要があります。当院で扱っているセラミックは耐久性に優れていますが、それでもこまめなメンテナンスを実施しないと、経年劣化や虫歯のリスクが上がります。医師が定めたペースで、メンテナンスを受けてください。
リスク・副作用
元の歯を削ることがある
審美歯科では、状況に応じて健康な歯を削ることがあります。セラミック治療を例に取ると、セラミックが割れないように厚みを持たせる必要があるため、元の歯を削らなければなりません。元々ある健康な歯に多少のダメージが加わることが、リスクとして挙げられます。
知覚過敏や虫歯のリスクが上がる
元の歯を削ることによって、歯の外側を覆うエナメル層も薄れてしまい、知覚過敏の症状が出る方もいらっしゃいます。また、日々のブラッシングを怠ると、元の歯とセラミックの接着面で虫歯が発生する恐れもあるので、要注意です。
保険の白い歯も取り扱っております

当院ではCAD/CAM冠を用いた保険の白い歯での治療も行っております。CAD/CAM冠とはコンピューターで設計・製作を行うつめ物・かぶせ物のことで、天然歯に近い色をした素材を使用するため、周りの歯に馴染みやすいのが特徴です。
保険適用の範囲は下記になります。
・1~3番目の歯(青色)
・4、5番目の歯(緑色)
・6番目の歯(ピンク色)
※ただし7番目の歯(黄色)が上下4本とも残っている状態であること
※医師の診断書をお持ちの金属アレルギーの方
・6番目の歯(ピンク色)
・7番目の歯(黄色)
セラミックの種類

当院では以下のような詰め物・被せ物を扱っております。審美性・耐久性に優れたセラミックや保険に対応した被せ物もご用意しております。患者様のご希望を伺いながら適切な詰め物をご提案いたします。
ジルコニアセラミック
ジルコニアセラミックはジルコニアの中でも特に耐久性と強度に優れています。それでいて、自然な見た目で金属アレルギーのある方にも適応です。耐久性に優れているため、奥歯やブリッジの治療にも使用することができます。
噛む力が強い方や、歯ぎしりをする癖がある方にも向いています。なめらかな素材でできており、汚れがつきづらいことも大きなメリットです。ほかのセラミックに比べて、ブラッシング時の磨き残しのリスクが軽減されるため、虫歯や歯周病予防にもつながります。
オールセラミック
オールセラミックはすべてがセラミック素材でできています。見た目も自然で美しく患者様の本来の歯の色にあわせたり、なりたい歯の色にあわせて色を選ぶことができるため、治療の選択肢が広がります。
当然、金属アレルギーの方にも対応しており、審美性と透明性を兼ね備えたセラミックです。
天然の歯と見分けがつかないほど自然に仕上がるため、前歯に使用する方が多いセラミックです。長期的に白く美しい状態がキープ可能で、細菌が付着しづらいこともメリットとして挙げられます。
当院の審美歯科の特徴

当院の審美歯科は次のような特徴があります。
質の高いセラミック治療
当院ではセラミックを使った審美歯科に力を入れています。もちろん保険適用のある金属の義歯も扱っていますが、セラミックの特徴として、表面が滑らかで傷がつきにくいため、長期間衛生的に使用しやすいというメリットがあります。
一方で金属の場合は、新品のときは表面もツルツル・ピカピカで滑らかですが、何年も使用していると表面に細かな傷がたくさんできて、その傷の溝に雑菌が繁殖しやすくなるというデメリットがあります。
もちろんセラミックも手入れを怠れば、そのすき間から虫歯や歯周病ができてしまいますが、金属のように唾液による金属イオンの溶出もなく比較的安全にご使用いただくことが可能です。見た目の美しさを維持しながら長期間衛生的に使用したい場合は、やはりセラミックをおすすめします。
虫歯のリスクを減らす歯科用セメントを採用
詰め物や被せ物をするときに、歯と詰め物あるいは被せ物との間にすき間があると、そのすき間に虫歯菌が入り込んで虫歯が再発してしまうことがあります。そのため、治療の際はできる限りすき間ができないように歯型を取って、密着させるようにして接着します。
しかし、接着する際に0.1mmの空気が入るだけでも、虫歯菌はその小さなすき間に入り込んでしまうため、接着時の空気の侵入を防ぐことが課題となっていました。
当院で取り扱っているセメントは接着力が高く、注入口に空気が入り込まない仕組みになっているため、歯と詰め物を密着させるときのすき間ができにくくなっています。
より高精度な治療を提供するために、当院では使用する物品や薬剤にも最新のものを取り扱っております。
ホワイトニング
元の歯を削ることなく、専用の薬剤を塗布することで歯を白くする治療法です。コーヒーや紅茶などの歯に着色しやすい飲料をよく飲む方、喫煙による黄ばみが気になる方におすすめです。
ホワイトニングには、歯科医院で行う“オフィスホワイトニング”と自宅で行う“ホームホワイトニング”の2種類があります。オフィスホワイトニングは、医院で扱える強めの薬剤を使用するため、即効性がありますが持続力は少々劣ります。ホームホワイトニングは、患者様が扱える低濃度の薬剤を使用するため、即効性は劣りますが持続力があります。
クリーニング
審美歯科のクリーニングでは、医師や歯科衛生士が医院専用の器具で、普段のブラッシングでは取りきれない汚れを除去します。汚れを放置すると黄ばみの原因になるだけでなく、虫歯や歯周病のリスクも高まります。白く美しい歯を維持するためにも、定期的にクリーニングを受けることをおすすめします。
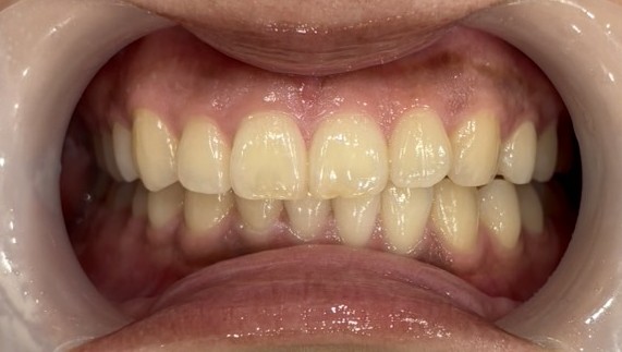
症例
歯の黄ばみが気になり来院され、ホワイトニングの治療を行いました。


主訴 | 歯の黄ばみ |
---|---|
治療内容 | 《初回》お試しホワイトニング20 |
治療費用 | 8,800円(税込み) |
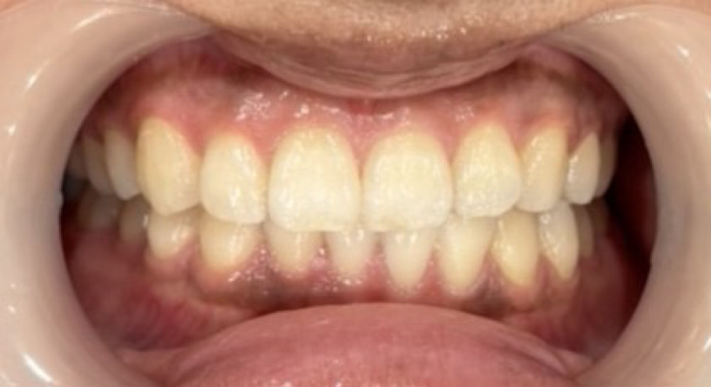
歯の黄ばみが気になり来院され、ホワイトニングの治療を行いました。


主訴 | 歯の黄ばみ |
---|---|
治療内容 | 《初回》お試しホワイトニング20 |
治療費用 | 8,800円(税込み) |
審美治療の流れ

当院の審美歯科は次のような流れで治療を進めてまいります。
-
STEP01
カウンセリング・治療計画
まずはカウンセリングを行い、歯の状態をチェックして患者様のご要望やお悩みをお伺いいたします。歯並びや口元の見た目のお悩みだけでなく、日々の歯磨きでのお困りごとなどもお聞かせください。
次にヒアリングした内容を元に治療計画を立てます。この際に、ご要望に沿えるセラミックの提案と治療方法、大まかな費用をお伝えいたします。 -
STEP02
治療
治療計画に同意いただけましたら、治療を開始します。もし、虫歯や歯周病がある場合は、先にその治療を行い、治療が終了したあとに審美歯科の治療へと移ります。
歯型を採取して仮歯を作成し、実際の歯にあわせてみて希望通りになっているかを確認します。詰め物や被せ物が完成しましたら、歯科用セメントで接着して治療は終了です。
カウンセリングも含めて治療終了までには複数回ご来院いただきます。通院中に何か気になる点がありましたらいつでもお声がけください。
よくある質問
セラミックにかかる費用は?
費用相場は、ジルコニアセラミックの被せ物が1歯約7~8万、詰め物が約6~7万。オールセラミックの被せ物が1歯約6~7万、詰め物が約5~6万です。大まかな費用は、治療計画時にお伝えいたします。
一般歯科と審美歯科の違いは?
一般歯科では、主に虫歯や歯周病の治療などの口腔内の健康維持に重きを置いています。そのため、治療費は保険適用となることが多いのが特徴です。
一方で審美歯科は、歯や口もとの美しさを重視した治療を行っています。健康維持目的ではないため、自由診療となり基本的に自費で治療を進めることとなります。
セラミック治療にかかる期間は?
状況にもよりますが、一般的にセラミック1本につき、3週間前後の治療期間がかかります。セラミック矯正の場合は、2ヵ月前後と長くなります。治療本数が少なく、虫歯や歯周病の治療が不要な場合は、2〜3回の通院で終了することもあります。
セラミックの寿命は?
一般的に、オールセラミックの寿命が約8〜10年、ジルコニアセラミックが約10〜15年と言われています。ただ、セラミックの寿命は、日々の口腔内ケアや生活習慣によって大きく変わってきます。
より長持ちさせるためには、毎日のブラッシングやフロスを用いたケア、禁煙、規則正しい生活などを行うことが重要です。
セラミックは変色しにくいって本当?
セラミックは、なめらかな素材でできている人工物のため、コーヒーや紅茶などの色の濃いものを摂取しても着色しにくいのが特徴です。
特に当院で扱っているジルコニアセラミックとオールセラミックは、審美性が非常に高いセラミックです。素材そのものは経年劣化するものの、使用中の色の変化はほとんど見られません。繰り返しになりますが、長く綺麗な状態を維持するためには、日々のケアが重要です。
セラミックは虫歯にならないって本当?
セラミックは人工物のため、セラミック自体は虫歯になりません。ただ、元の歯とセラミックの間や、歯の根元に細菌が入った場合は、元々の歯が虫歯になってしまいます。
元の歯が虫歯になると、セラミックが使用不可になることもあるため、日々のケアや定期的なメンテナンスを受けることが重要です。特にブラッシングやフロスは、医師や歯科衛生士による指導のもと丁寧に行ってください。
審美歯科の治療は食事制限がある?
受けた治療内容にもよりますが、基本的に治療後の食事制限はありません。ただ、セラミック治療の場合は、仮歯期間に硬いものや粘着性があるものを食べないようにしてください。ホワイトニングの場合は、治療後に色の濃い飲食物を摂取しないようにすると効果的です。

アクセス・診療時間

〒277-0837 千葉県柏市大山台2-3-1
モラージュ柏2階 213
- 診療時間
- 10:00~13:30/15:00~19:30
(土曜は19:00まで) - 休診日
- 木曜・日曜・祝日
※日曜矯正不定期あり(10:00~14:00/15:00~19:00) - TEL
- 04-7137-6001
ご相談・ご予約はお気軽にご連絡下さい。